前牙全瓷冠修复

卢松林医生 发布于2020-12-28 09:35 阅读量7187

本文由卢松林原创

  今天给大家分享一个门牙全瓷冠病例。

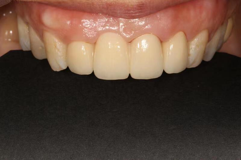
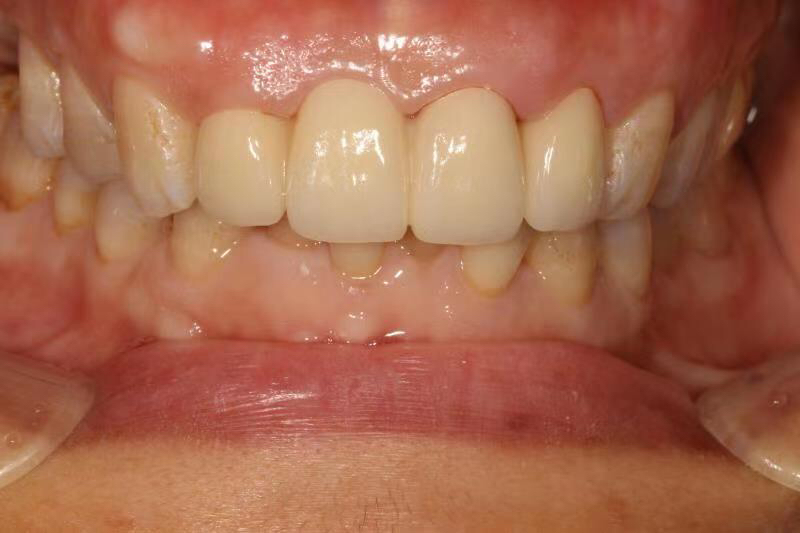
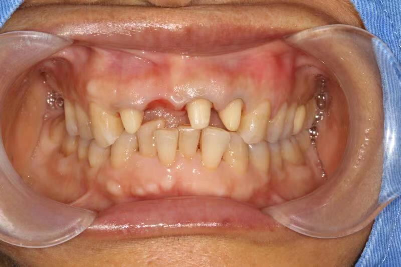
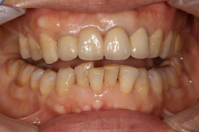
  患者中年女性,11、12、21、22外院制作烤瓷冠,11缺失,冠边缘不密合,龈缘轻微红肿,探易出血,颜色不美观,我们为患者进行拆牙冠,重新备牙,德国CEREC椅旁扫描切割,很快就戴上了牙齿,患者使用舒适,对颜色满意。


图片发自160医生App



图片发自160医生App



图片发自160医生App



图片发自160医生App



图片发自160医生App



图片发自160医生App



图片发自160医生App



图片发自160医生App
相关疾病: