前牙全瓷冠修复

卢松林医生 发布于2020-12-25 10:54 阅读量6797

本文由卢松林原创

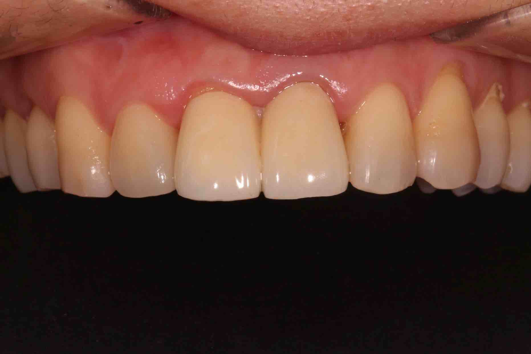
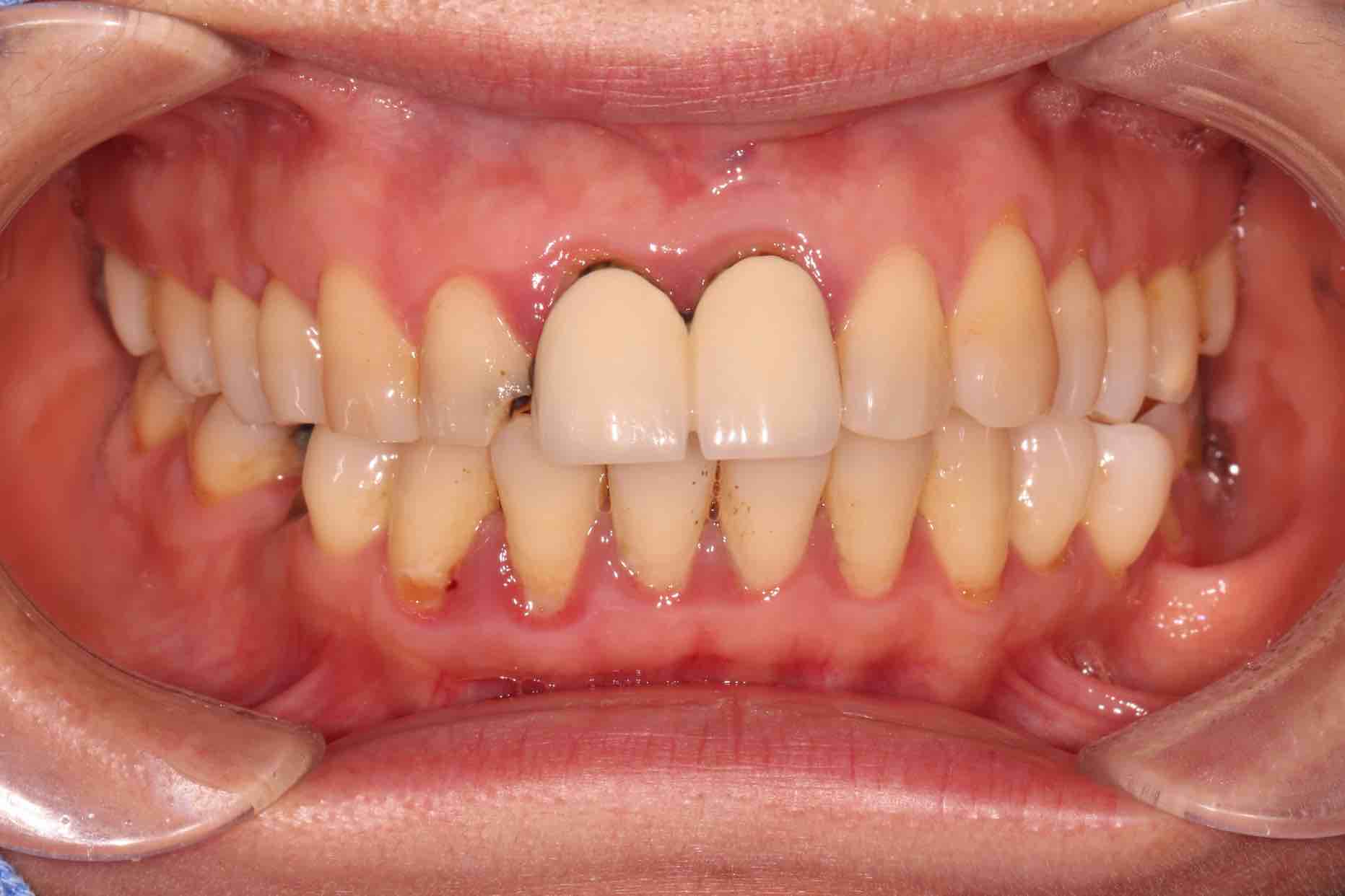
  今天给大家分享一个门牙全瓷冠病例。

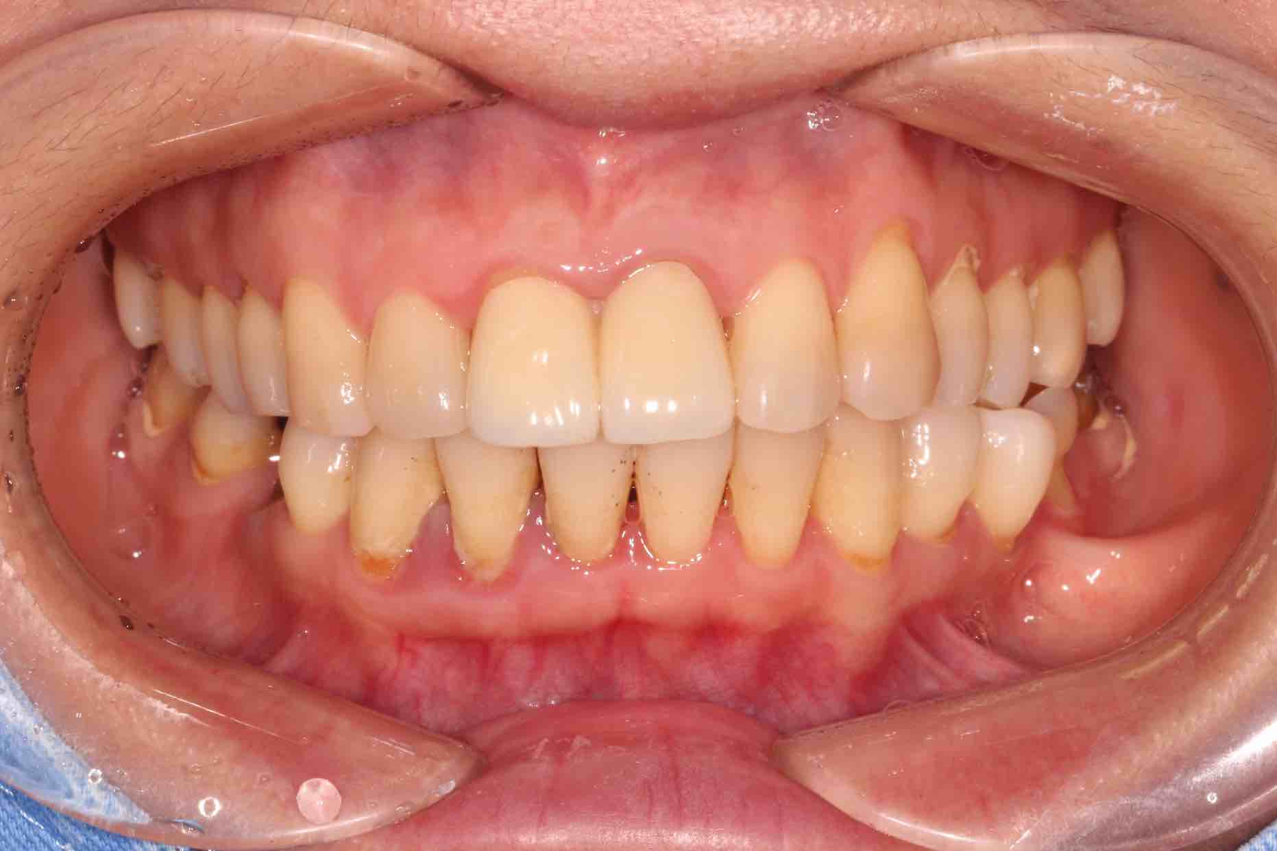
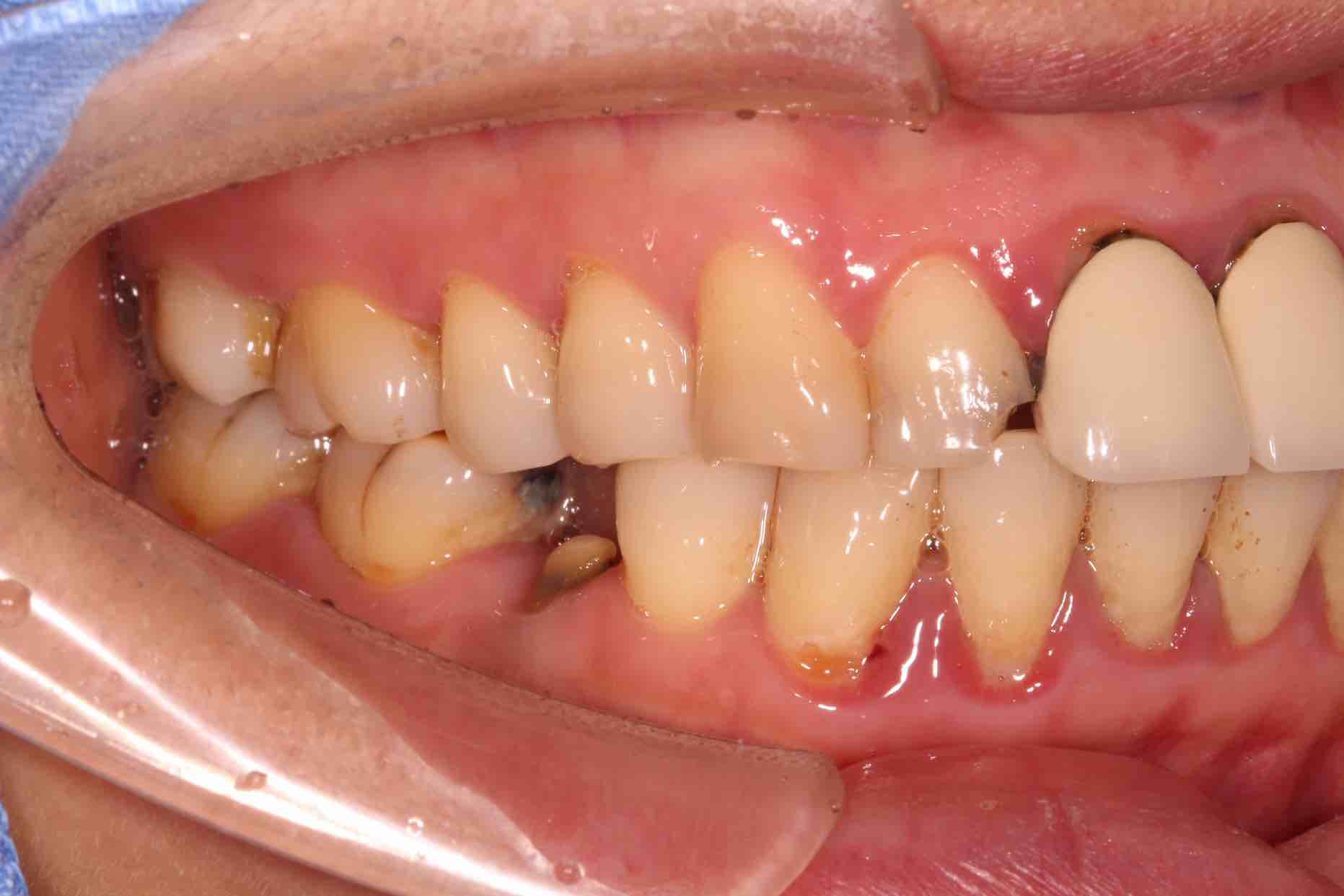
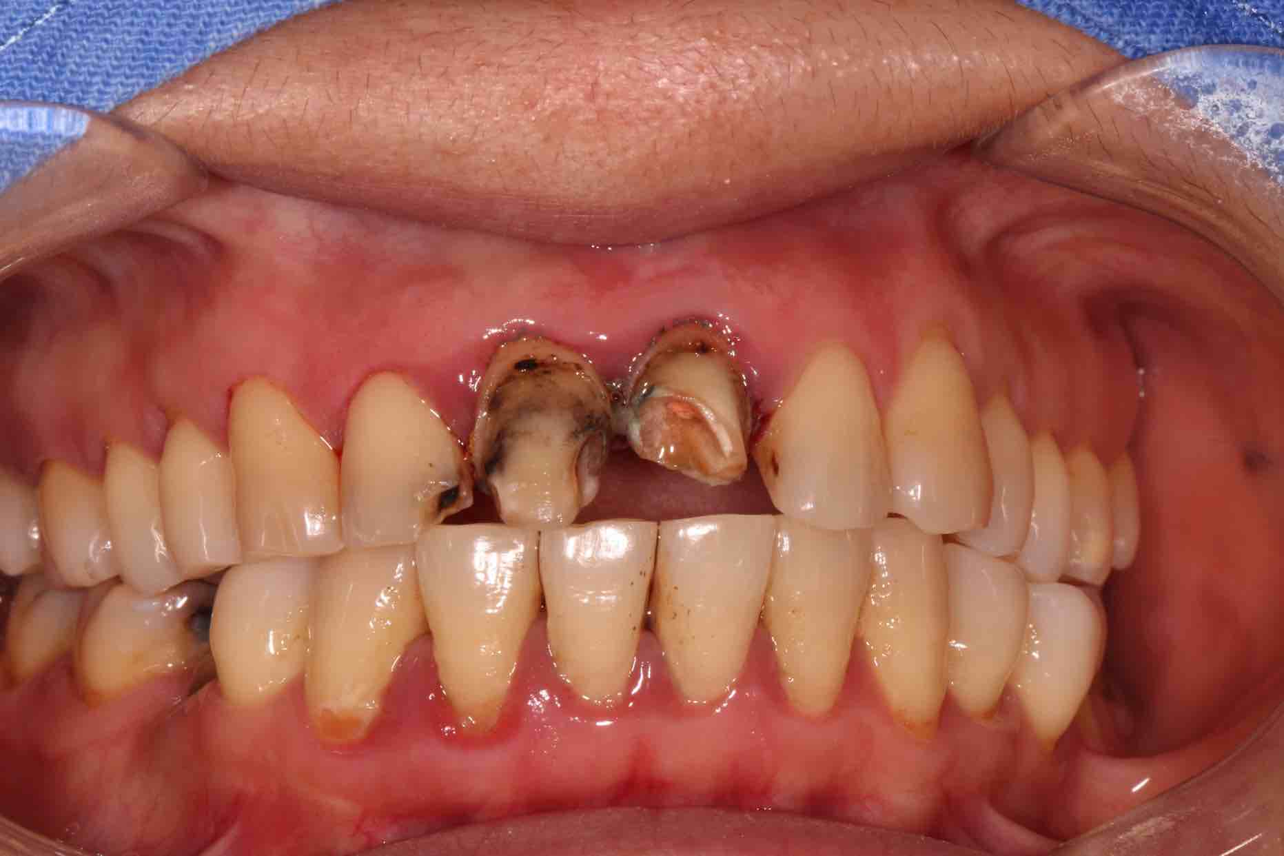
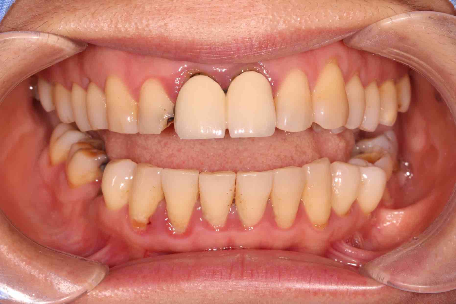
  患者中年女性,11、21外院制作烤瓷冠,冠边缘不密合,牙龈退缩发黑,龈缘红肿,颜色不美观且X线检查21根管治疗不完善,由于牙冠不密合,11严重龋坏已有牙髓炎症状,我们对11进行了根管治疗,21进行了根管再治疗,最后CEREC扫描修复。


图片发自160医生App



图片发自160医生App



图片发自160医生App



图片发自160医生App



图片发自160医生App



图片发自160医生App



图片发自160医生App
相关疾病: