马里兰桥修复

卢松林医生 发布于2020-12-21 09:53 阅读量9535

本文由卢松林原创

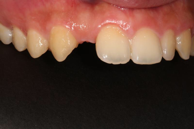
  今天给大家分享一个CEREC马里兰桥病例。

  患者是一位少年,右上2号牙因外伤松动拔除,常规修复方式有三种:活动义齿、全瓷桥修复,种植修复。

活动义齿舒适性较差,桥体修复对邻牙损伤过大,患者年纪较好无法进行种植修复,所以我们用CEREC为这位患者制作了一个马里兰桥,是目前最合理的过度方案。


图片发自160医生App



图片发自160医生App



图片发自160医生App



图片发自160医生App



图片发自160医生App



图片发自160医生App
相关疾病: