短植体的应用

卢松林医生 发布于2020-12-20 11:17 阅读量6893

本文由卢松林原创

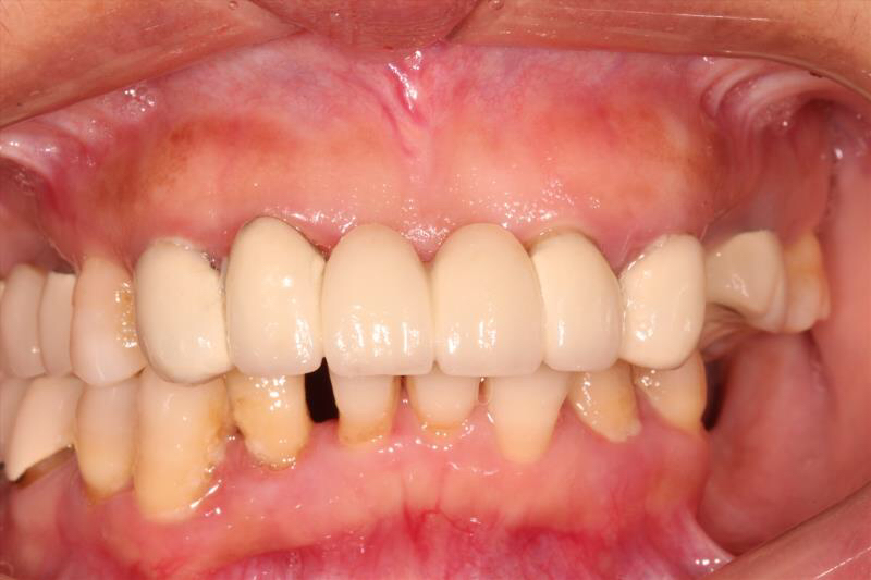
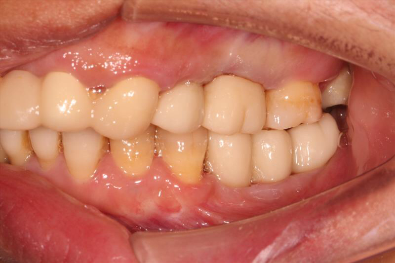
  今天给大家分享一个多颗后牙种植病例。

  患者中年女性,左下5、6、7缺失多年,牙槽骨吸收较多,CBCT可见牙槽骨高度不足,距离下颌神经管比较近,所以为这位患者选择了短植体进行种植,术中植骨盖膜,历时7个月戴上了牙齿,患者使用满意。


图片发自160医生App



图片发自160医生App



图片发自160医生App



图片发自160医生App



图片发自160医生App



图片发自160医生App



图片发自160医生App
相关疾病: