前牙超薄全瓷贴面

卢松林医生 发布于2020-12-19 10:53 阅读量6891

本文由卢松林原创

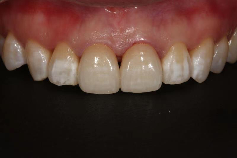
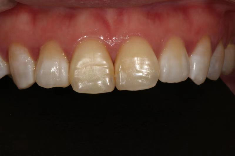
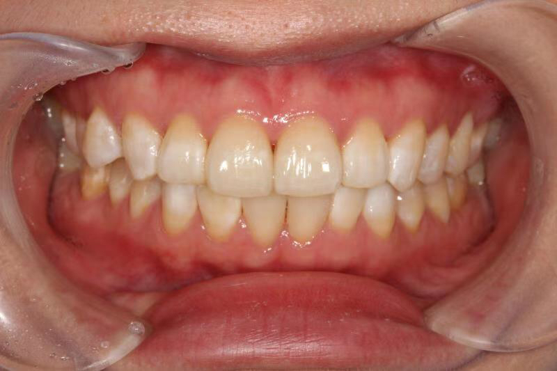
  前牙全瓷超薄贴面修复。

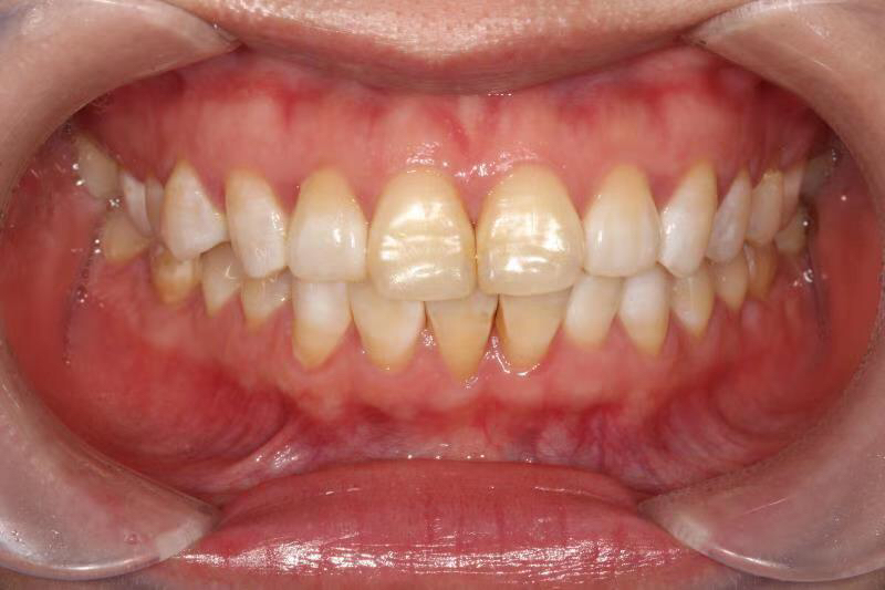
  患者女,是一名律师,中度氟斑牙,由于前牙补牙材料与自体牙颜色不接近前来就诊。

所以建议她做全瓷贴面修复,美观度,耐久度相较于补牙要高很多。

  我们的全瓷贴面由德国CEREC椅旁切割系统扫描,技师现场制作,相较于传统取模发加工厂,更舒适、更快捷,有特殊要求可与技师现场沟通更方便。


图片发自160医生App



图片发自160医生App



图片发自160医生App



图片发自160医生App



图片发自160医生App
相关疾病: