后牙种植

卢松林医生 发布于2020-12-18 15:42 阅读量7101

本文由卢松林原创

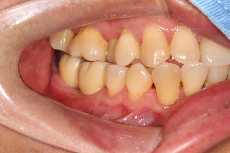
  今天给大家分享一个后牙种植病例。

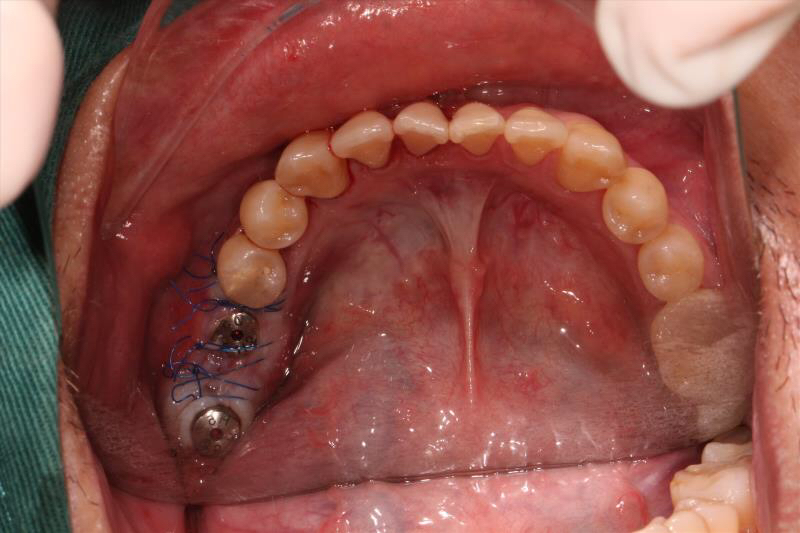
  患者男,是一名人民教师,右下7缺失,右下6III°松动,已经无法保留,我们为患者进行了即拔即种,术中植骨盖膜,上愈合基台,减少了患者的治疗周期。

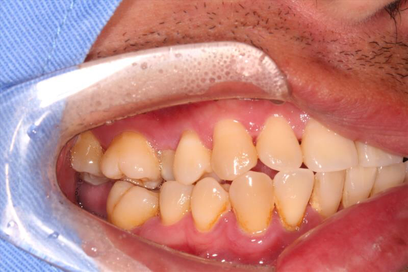
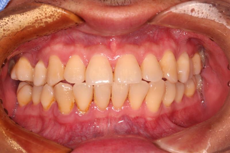
  总历时5个月,戴牙后多次复诊,患者使用满意,X线未见异常。


图片发自160医生App



图片发自160医生App



图片发自160医生App



图片发自160医生App



图片发自160医生App



图片发自160医生App



图片发自160医生App
相关疾病: