单颗后牙即拔即种

卢松林医生 发布于2020-12-17 09:30 阅读量6981

本文由卢松林原创

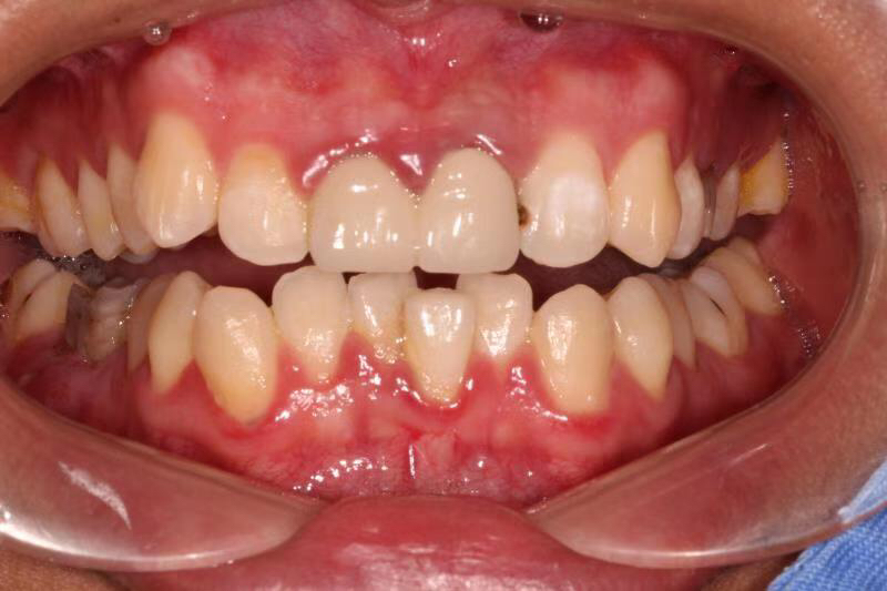
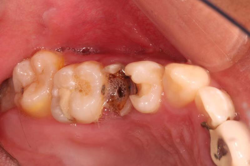
  今天给大家分享一个单颗后牙即拔即种病例。

  患者年轻男性,左上5号牙因龋坏未及时处理已经腐烂成残根无法修复,只能进行种植修复,且因拖延较久,慢性炎症造成骨吸收,术中植骨盖膜,戴牙后患者满意,按时复诊检查未见异常。


图片发自160医生App



图片发自160医生App



图片发自160医生App



图片发自160医生App



图片发自160医生App



图片发自160医生App



图片发自160医生App
相关疾病: