后牙根管治疗+高嵌体修复

卢松林医生 发布于2020-12-14 16:45 阅读量7163

本文由卢松林原创

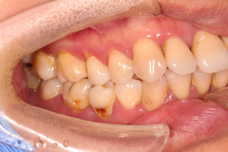
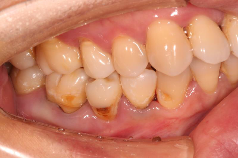
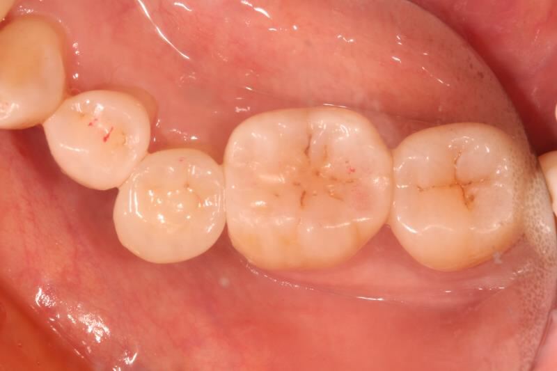
  今天给大家介绍一个后牙根管治疗+高嵌体修复病例。

  患者中年女性,右下5号牙龋坏引起牙髓炎,在进行妥善的根管治疗后,由于缺损较大,植入纤维桩*1根,牙体预备,德国CEREC椅旁扫描切割系统制作高嵌体,较传统取模舒适,又节省的就诊次数和时间。


图片发自160医生App



图片发自160医生App



图片发自160医生App



图片发自160医生App



图片发自160医生App
相关疾病: