铒激光无损拆冠+根管再治疗

卢松林医生 发布于2020-12-14 16:42 阅读量8371

本文由卢松林原创

   今天给大家介绍一个铒激光拆冠根管再治疗病例。

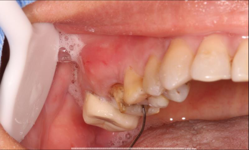
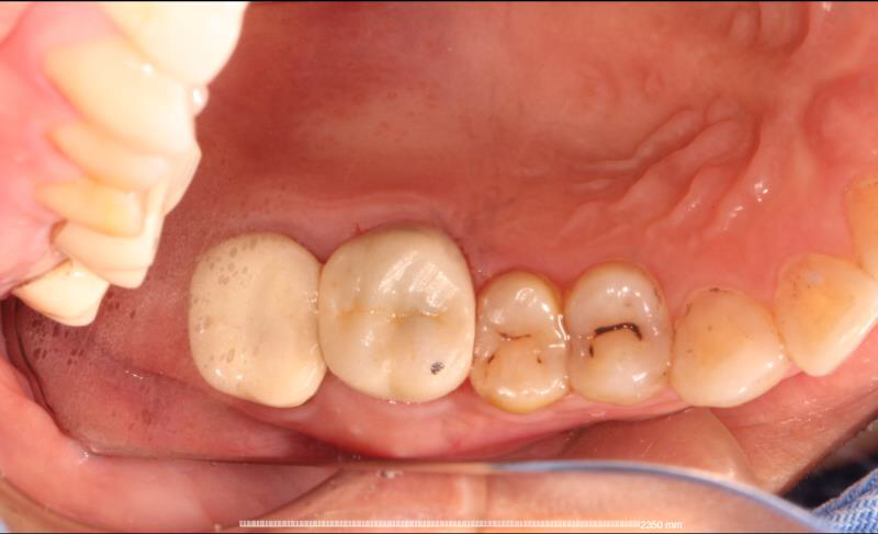
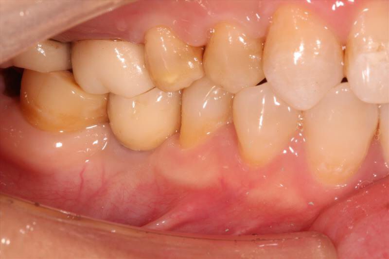
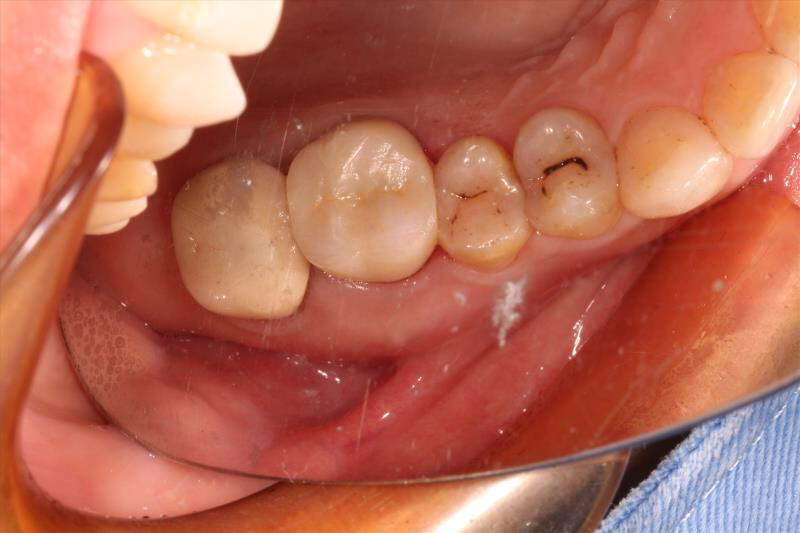
  患者中年女性,右上6外院根管治疗多年,近期牙龈红肿,咀嚼疼痛,X线检查见根尖区大面积低密度影响,怀疑有遗漏的根管没有清理,用铒激光无损拆掉牙冠后进行根管再治疗,找到了遗漏的MB2,妥善的根管治疗完成后,重新戴上之前拆掉的牙冠,即解决了疼痛又为患者节省了一笔费用。


图片发自160医生App



图片发自160医生App



图片发自160医生App



图片发自160医生App



图片发自160医生App



图片发自160医生App



图片发自160医生App



图片发自160医生App
相关疾病: