单颗后牙即拔即种

卢松林医生 发布于2020-12-14 16:39 阅读量6863

本文由卢松林原创

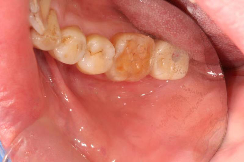
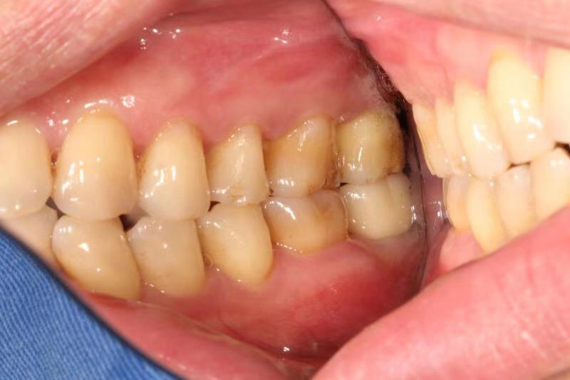
  今天给大家介绍一个单颗后牙即拔即种病例。

  患者中年男性,右下7号牙龋坏未及时处理至残根无法修复,CT检查发现骨量尚可,可以即拔即种,并且不需要植骨,节省了患者治疗周期,整个治疗过程用了4个月患者就戴上了牙齿。


图片发自160医生App



图片发自160医生App



图片发自160医生App



图片发自160医生App



图片发自160医生App



图片发自160医生App



图片发自160医生App



图片发自160医生App
相关疾病: