铒激光的应用

卢松林医生 发布于2020-12-11 10:04 阅读量7511

本文由卢松林原创

  今天给大家分享铒激光在口腔中的应用。

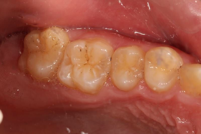
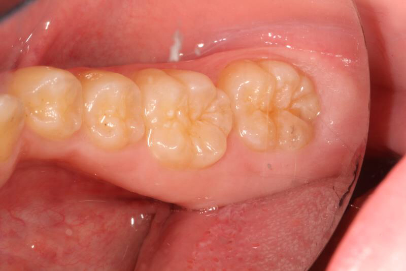
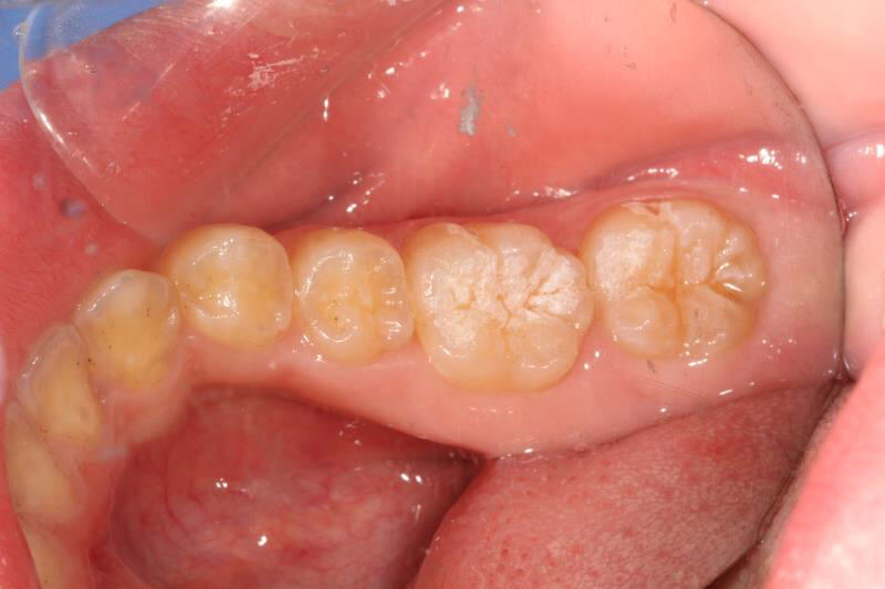
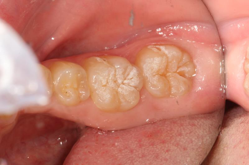
  它可以去龋坏,酸蚀,消毒牙周袋,清理肉芽组织, 切舌系带,拆牙冠等等。

  相较于传统高速手机去龋,铒激光的损伤更小;铒激光拆牙冠不会破坏牙冠,拆下来的牙冠还可以再利用,可以参考之前的病例。


图片发自160医生App



图片发自160医生App



图片发自160医生App



图片发自160医生App



图片发自160医生App



图片发自160医生App
相关疾病: