正畸+种植联合治疗。

卢松林医生 发布于2020-12-10 15:03 阅读量7086

本文由卢松林原创

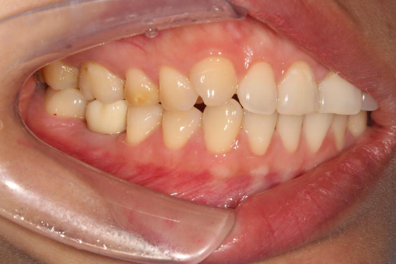
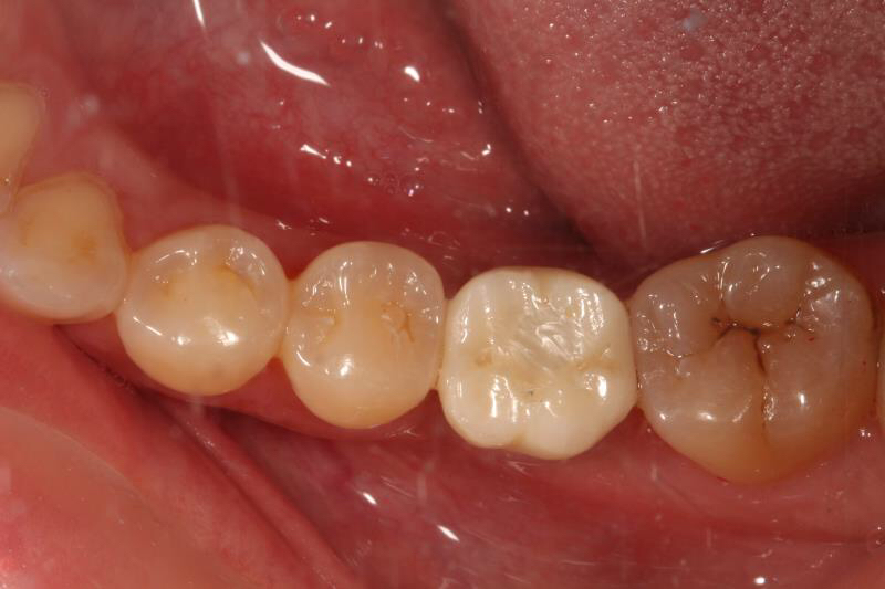
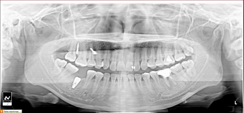
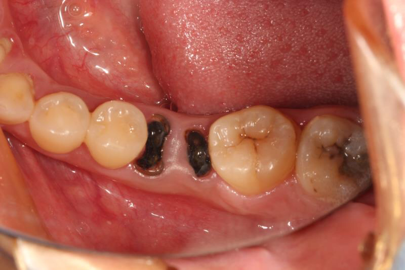
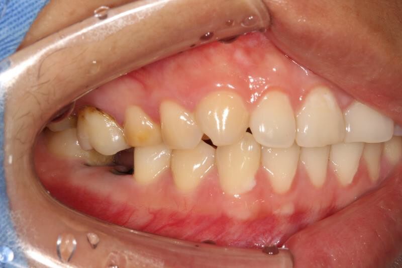
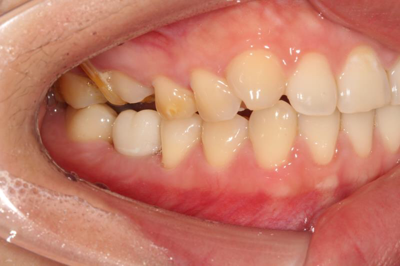
  今天给大家介绍一个单颗后牙种植+局部正畸联合治疗病例。

  患者年轻女性,后下6残根,因未及时修复,5、7号牙向6号牙倾斜,导致了修复空间不足。按照常规治疗方案,会损伤两侧的健康牙齿,得不偿失,所以我们为她采用了正畸+种植联合治疗方案。


图片发自160医生App



图片发自160医生App



图片发自160医生App



图片发自160医生App



图片发自160医生App



图片发自160医生App



图片发自160医生App
相关疾病: