单颗前牙种植

卢松林医生 发布于2020-12-09 10:53 阅读量6876

本文由卢松林原创

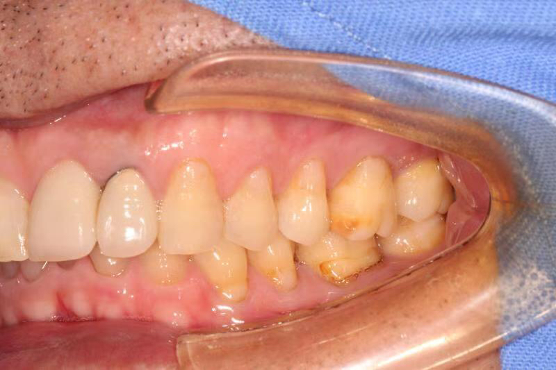
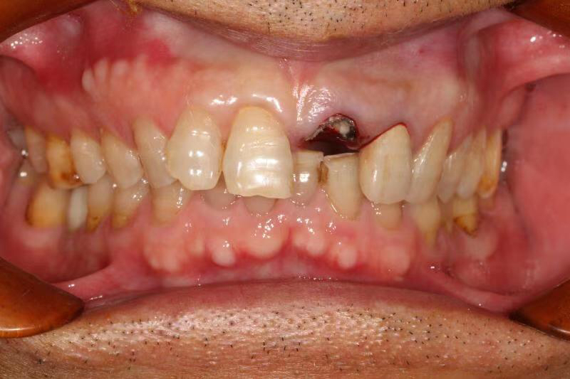
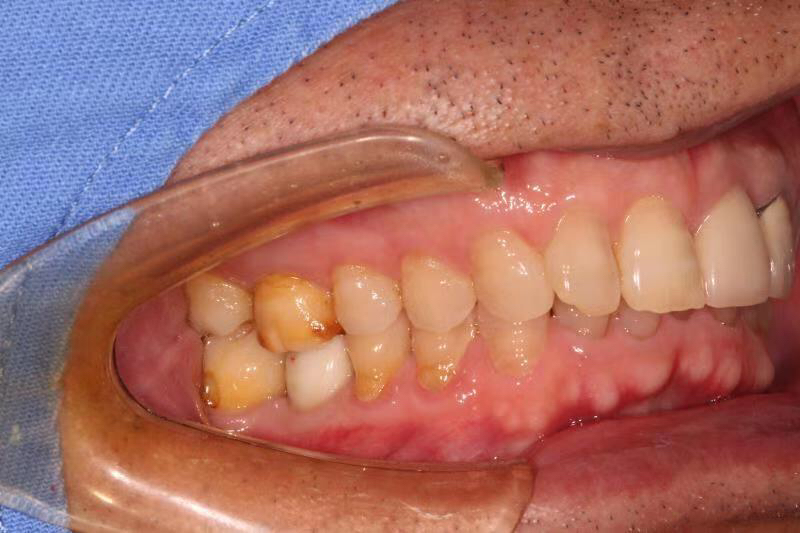
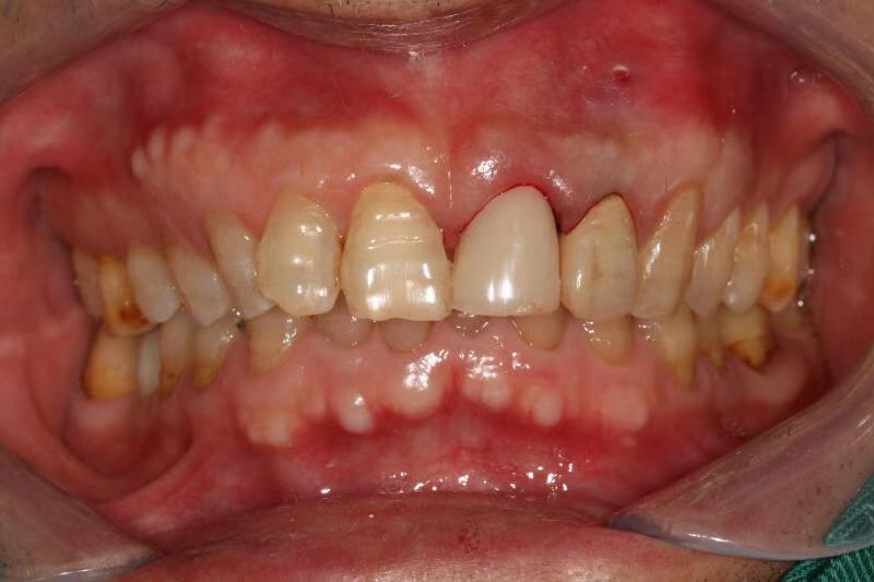
  今天给大家分享一个前牙单颗种植的病例。

  患者中年男性,左上中切牙外院烤瓷冠修复多年,因牙冠脱落前来就诊,由于牙冠制作不够密合,牙齿已经腐烂成残根,无法修复,只能进行种植修复,由于是门牙,我们在做完种植术后为患者制作了临时冠,最大程度保证了美观性。


图片发自160医生App



图片发自160医生App



图片发自160医生App



图片发自160医生App



图片发自160医生App



图片发自160医生App
相关疾病: