种植覆盖义齿

卢松林医生 发布于2020-12-08 12:59 阅读量7017

本文由卢松林原创

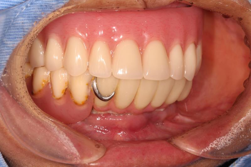
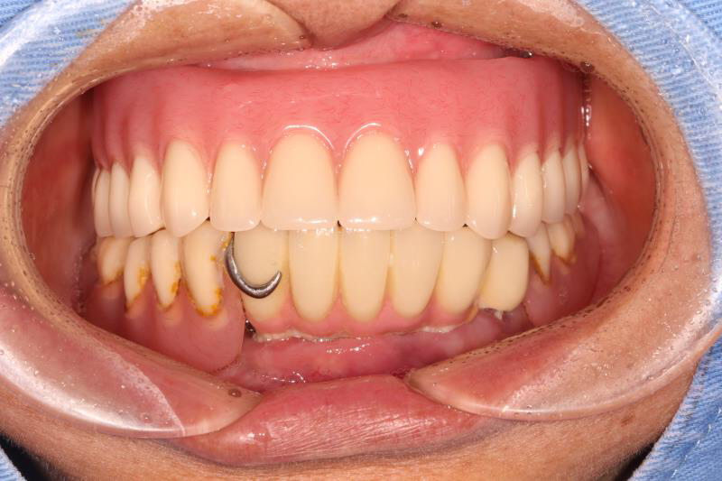
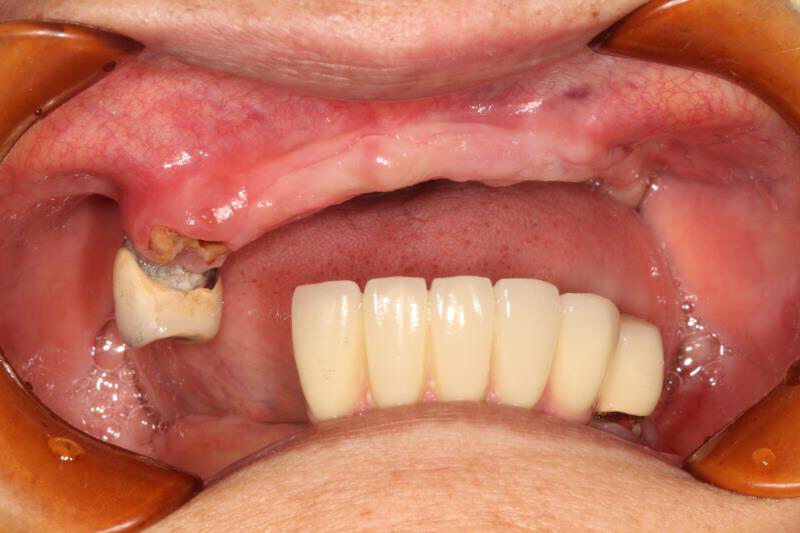
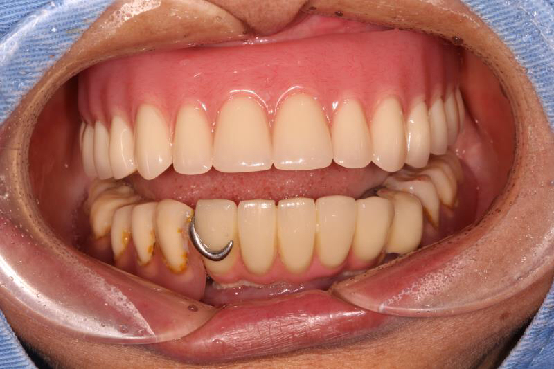
  今天给大家介绍一个种植覆盖义齿病例。

  患者是一位老奶奶,全口多颗牙缺失,传统活动义齿固位力相对较差,影响患者咀嚼,单颗种植费用较高,所以我们为这位老奶奶做的种植覆盖义齿,固位力增加了,费用减少了,老奶奶戴牙后很满意。


图片发自160医生App



图片发自160医生App



图片发自160医生App



图片发自160医生App



图片发自160医生App



图片发自160医生App



图片发自160医生App



图片发自160医生App



图片发自160医生App

图片发自160医生App


相关疾病: