后牙CEREC嵌体即刻修复

卢松林医生 发布于2020-12-04 16:34 阅读量7131

本文由卢松林原创

  今天给大家分享一个后牙嵌体即刻修复病例。

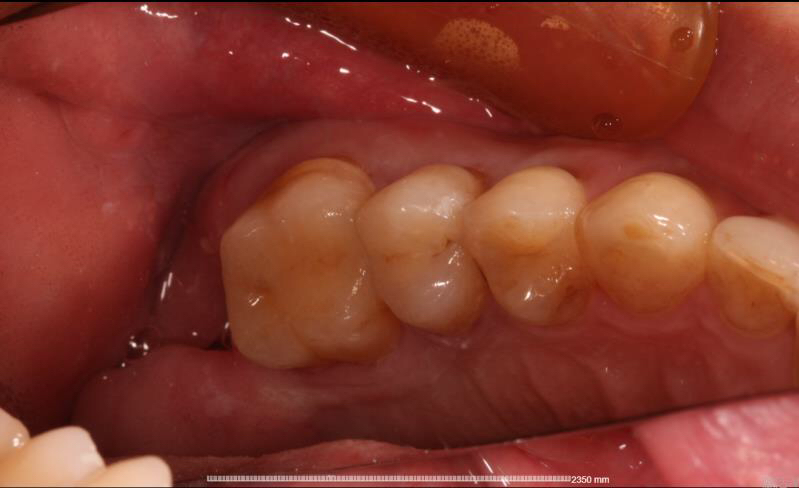
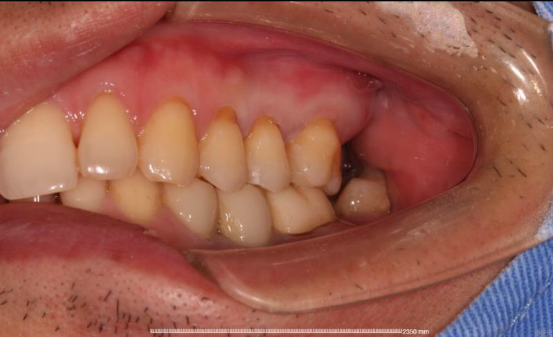
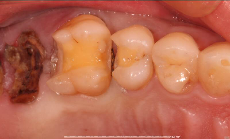
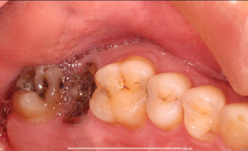
  患者中年男性,右上5、6号牙邻接处龋坏,虽然表面没有明显龋坏,但釉质下可见低密度阴影,去龋过程中见釉质下大面积龋坏。由于龋坏面积较大,且位置处在邻接处,传统补牙强度较弱,所以我们建议这位患者采用嵌体修复的方式,一日就诊,一次搞定。

  这种邻接龋坏多数是由于进食过后没有用牙线的习惯,食物嵌塞在2颗牙之间导致2颗牙都发生龋坏,卢医生建议大家要有进食过后使用牙线的习惯。


图片发自160医生App



图片发自160医生App



图片发自160医生App



图片发自160医生App
相关疾病: