德国CEREC前牙瓷贴面一日修复

卢松林医生 发布于2020-12-02 17:01 阅读量6849

本文由卢松林原创

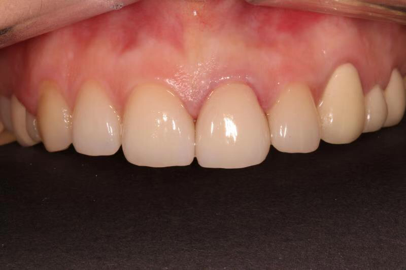
  今天给大家分享一个门牙瓷贴面修复病例。

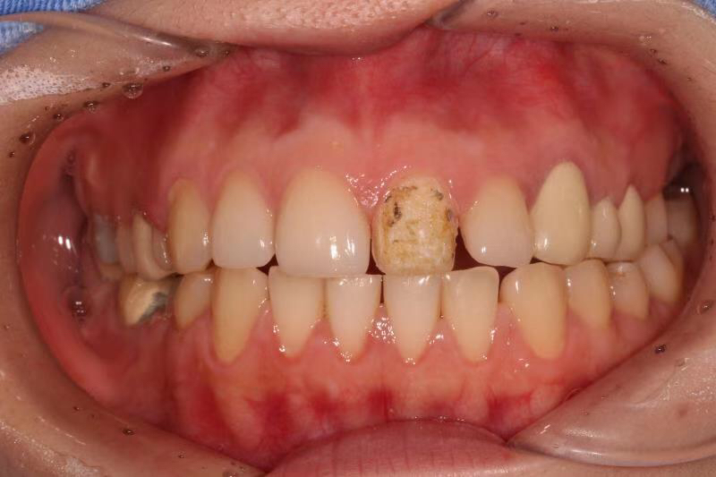
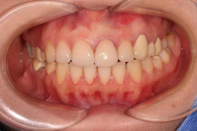
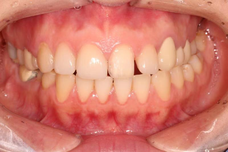
  患者中年女性,外院制作单颗门牙瓷贴面一年后脱落来我院就诊,检查未发现牙髓炎症状。

  我们为患者重新备牙后,德国CEREC椅旁扫描切割,专业技师现场染色,色制作,一日就诊,一次搞定。


图片发自160医生App



图片发自160医生App



图片发自160医生App



图片发自160医生App



图片发自160医生App
相关疾病: