前牙单颗种植

卢松林医生 发布于2020-11-30 11:04 阅读量6899

本文由卢松林原创

  今天给大家分享一个前牙单颗种植的病例。

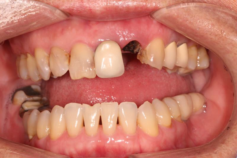
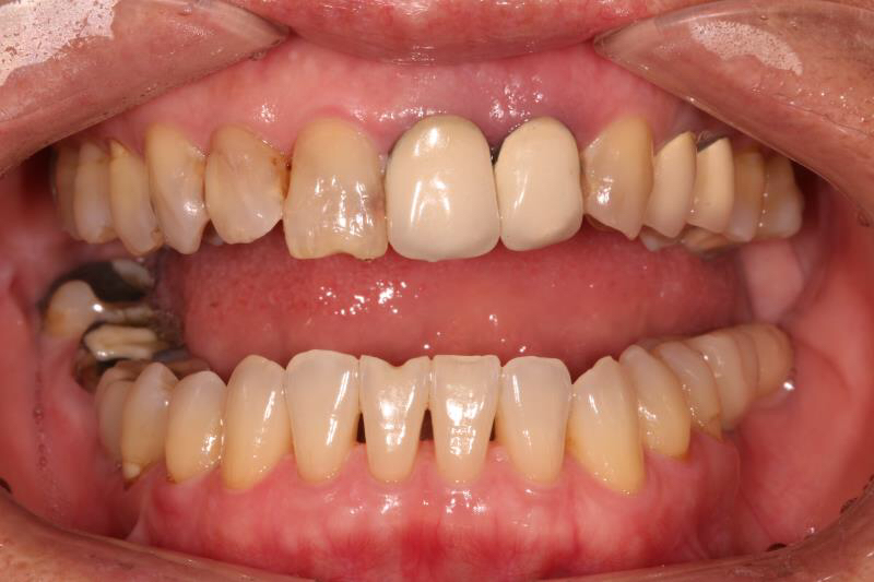
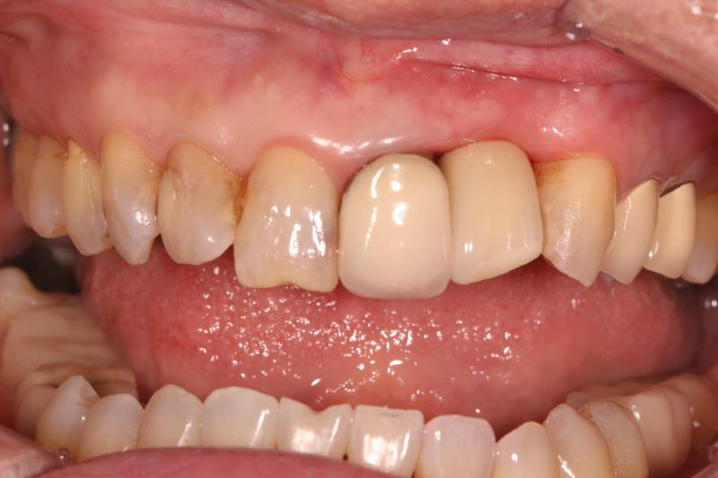
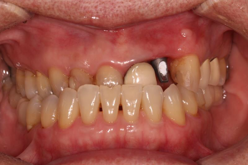
  患者中年女性,左上侧切牙外院烤瓷冠修复多年,因松动前来就诊,由于牙冠制作不够密合,取下牙冠后发现牙齿已经腐烂成残根,已经没有办法留住,只能进行种植修复,且因拖延时间过久,慢性炎症造成骨吸收,术中植骨、盖膜、CGF覆盖,最大程度保证了美观性。


图片发自160医生App



图片发自160医生App



图片发自160医生App



图片发自160医生App



图片发自160医生App



图片发自160医生App



图片发自160医生App
相关疾病: