铒激光无损拆牙冠

卢松林医生 发布于2020-11-29 15:11 阅读量8114

本文由卢松林原创

今天给大家分享一个铒激光无损拆牙冠。

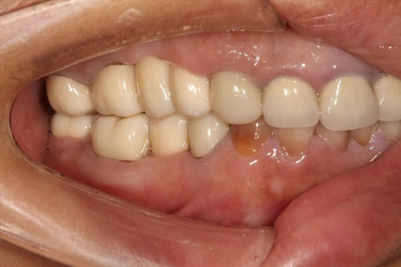
  患者中年女性,右下6号牙全冠修复一年余,近期使用不适,咀嚼效率降低,前来就诊。

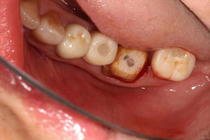
  我们用铒激光无损伤的拆除了牙冠,再由我们专业的技师现场加瓷,修整,一日就诊,一次搞定,重新安装牙冠后患者满意。






图片发自160医生App



图片发自160医生App



图片发自160医生App



图片发自160医生App



图片发自160医生App



图片发自160医生App



图片发自160医生App



图片发自160医生App



图片发自160医生App
相关疾病: