单颗后牙种植

卢松林医生 发布于2020-11-28 18:09 阅读量7059

本文由卢松林原创

今天给大家分享一个单颗后牙种植病例。

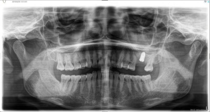
  患者中年女性,左上6号牙因根尖炎症过大导致松动后拔除,因炎症过大,稳妥起见未进行即拔即种的种植方式,我们采取了先拔牙,3个月后种植的治疗方案。

  由于骨量不足,我们术中进行了上颌窦内提、植骨、盖膜、CGF覆盖,最大程度的保证了种植的成功率和使用强度。


图片发自160医生App



图片发自160医生App



图片发自160医生App



图片发自160医生App



图片发自160医生App



图片发自160医生App
相关疾病: