单颗后牙即拔即种

卢松林医生 发布于2020-11-27 13:22 阅读量7174

本文由卢松林原创

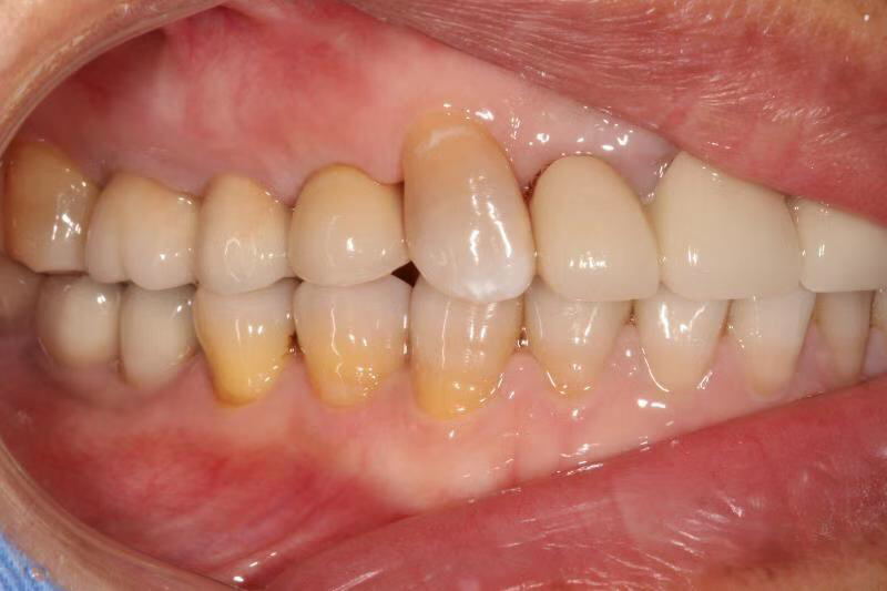
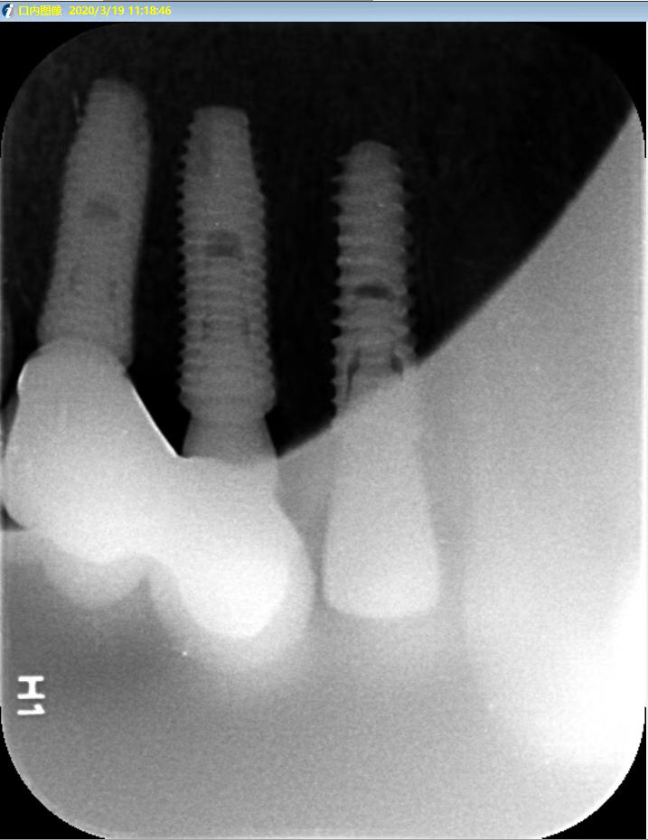
  今天给大家分享一个即拔即种病例。

  患者女,右上4号牙根管治疗后桩核冠修复,因进食硬物导致桩核冠脱落,未及时处理,导致残根无法修复,从CT上看,牙槽骨高度尚可,所以选择了即拔即种的治疗方案,且术中植骨盖膜、上愈合基台,为患者节省了就诊次数,提前了戴牙时间。

  在这里提醒大家,无论是自体牙、全瓷牙、种植牙都尽量不要咬硬物。


图片发自160医生App



图片发自160医生App



图片发自160医生App



图片发自160医生App



图片发自160医生App



图片发自160医生App
相关疾病: