德国CEREC前牙全瓷超薄贴面修复

卢松林医生 发布于2020-11-26 19:13 阅读量7085

本文由卢松林原创

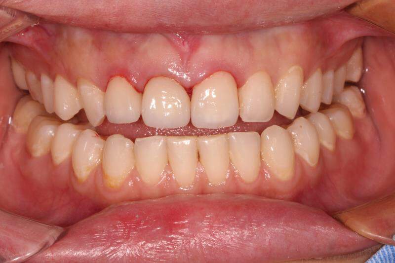
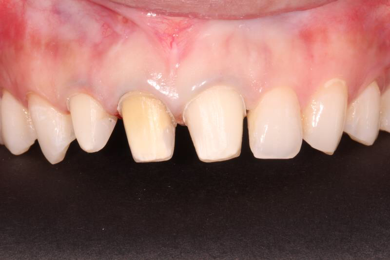
  患者女,由于龋坏、充填物变色、继发龋等原因导致前牙不美观,因为再好的补牙材料时间久了边缘也会变色,所以建议她做全瓷贴面修复,美观度,耐久度相较于补牙要高很多,且不容易产生继发龋。

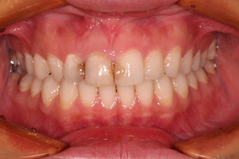
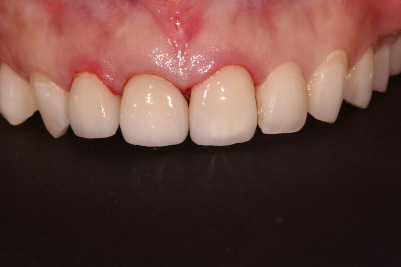
  我们的全瓷贴面由德国CEREC椅旁切割系统扫描,技师现场制作,相较于传统取模发加工厂,更舒适、更快捷,有特殊要求可与技师现场沟通更方便。


图片发自160医生App



图片发自160医生App



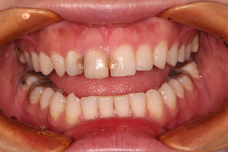
图片发自160医生App



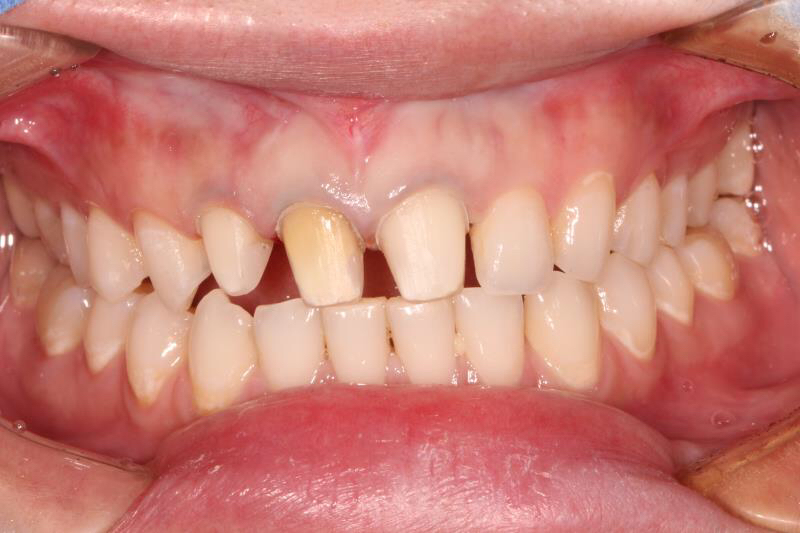
图片发自160医生App



图片发自160医生App



图片发自160医生App



图片发自160医生App



图片发自160医生App



图片发自160医生App



相关疾病: