铒激光无损拆除牙冠

卢松林医生 发布于2020-11-22 12:43 阅读量9096

本文由卢松林原创

   今天给大家一个铒激光拆除牙冠的病例。

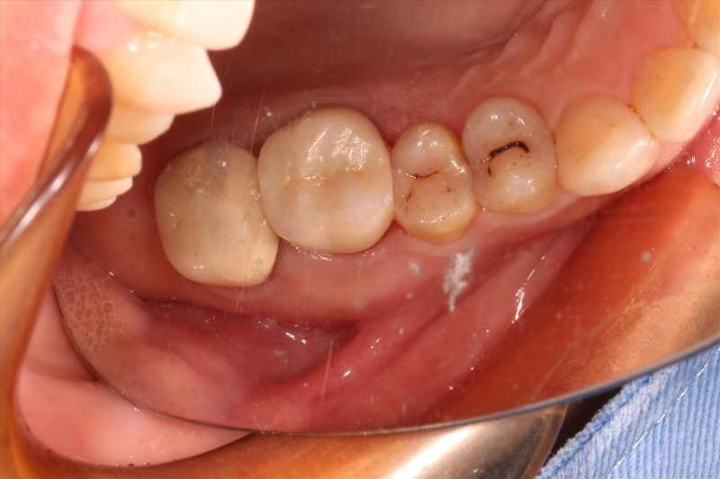
  患者中年女性,右上6号牙外院根管治疗后全冠修复,先由于根管治疗不完善,根尖发炎,常规治疗方式为高速手机破坏牙冠后拆除,再进行根管再治疗。

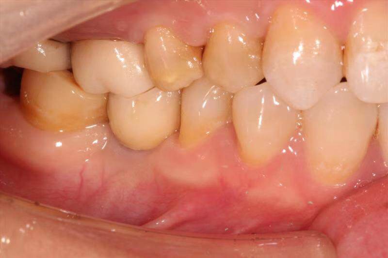
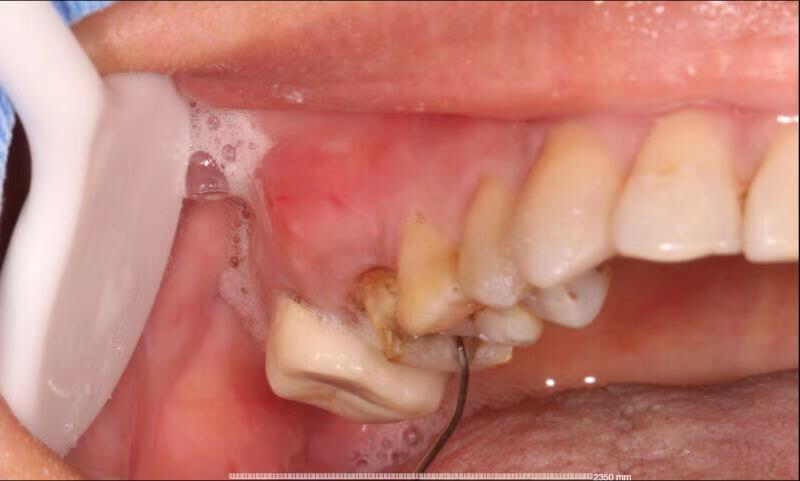
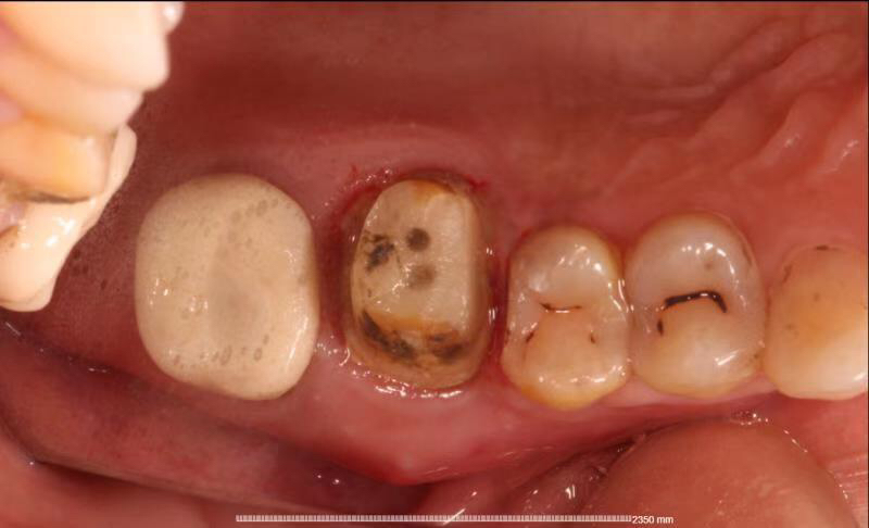
  现在我们有了铒激光,可以在不损伤牙冠的情况下将牙冠拆除,再进行根管再治疗后,可以重新利用,这样既为患者省下了制作新牙冠的费用,又避免的患者对新牙冠的不适应。


图片发自160医生App



图片发自160医生App



图片发自160医生App



图片发自160医生App



图片发自160医生App



图片发自160医生App



图片发自160医生App



图片发自160医生App
相关疾病: