前牙单颗全瓷贴面CEREC一日修复

卢松林医生 发布于2020-11-21 18:10 阅读量7027

本文由卢松林原创

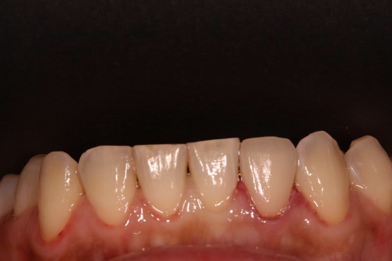
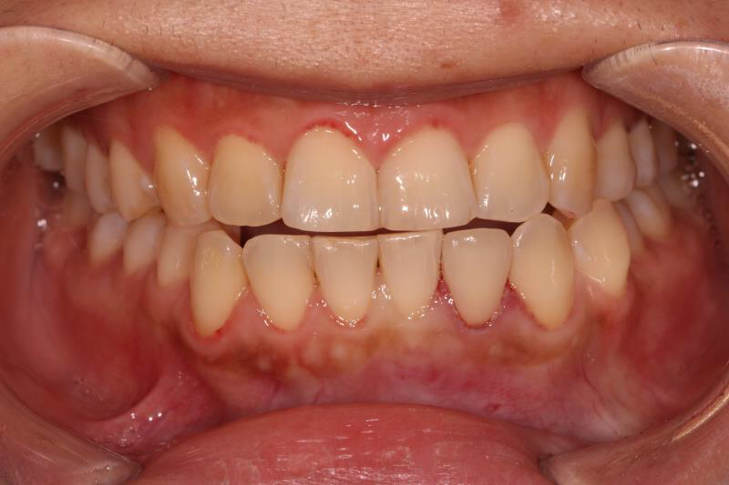
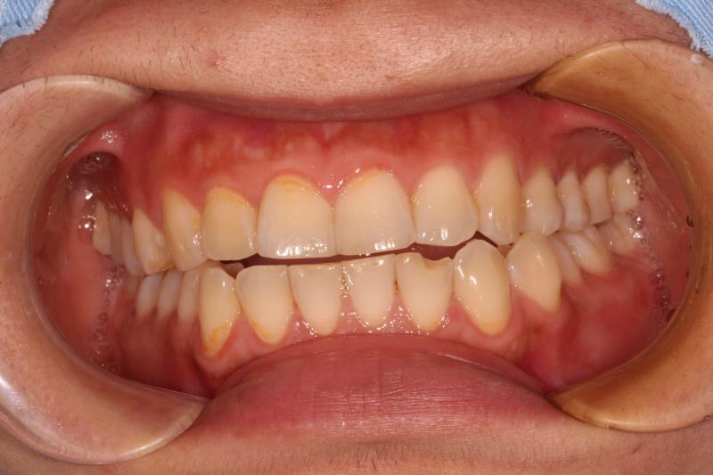
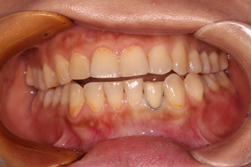
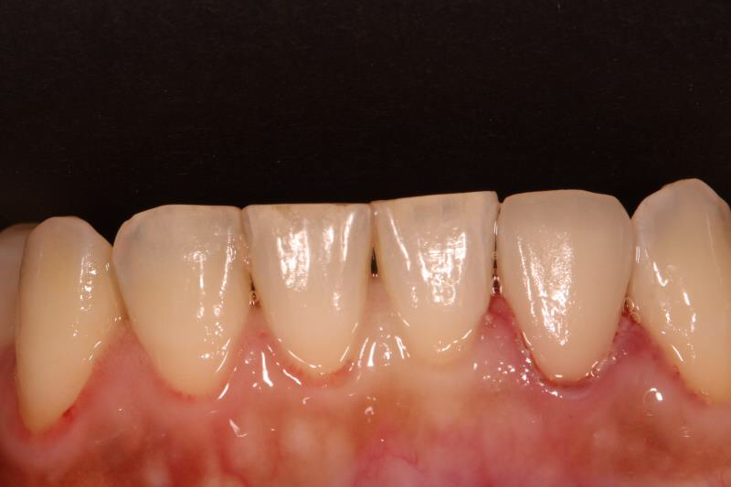
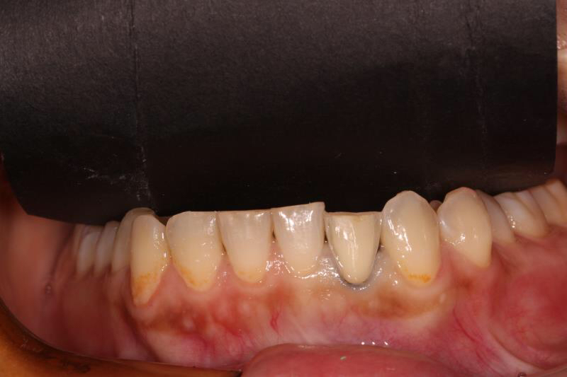
今天给大家分享的是一位中年女性,下前牙由于咬硬物缺损,影响美观,且因缺损较大,进食过冷过热敏感。

  治疗方式主要有3种:1:补牙 

                   优点:价格便宜,磨牙量小。

                   缺点:美观度较差、耐用度较差。

                               2:贴面修复 

                    优点:美观度高,颜色接近自身牙齿,磨牙量较小,较耐用。

                     缺点:价格稍贵。

                                 3:全冠修复

                     优点:美观度高,耐用。

                     缺点:磨牙量大,费用较高。

  对比很明显,这位患者的最佳的修复方式是:贴面修复。

  配合德国CEREC椅旁数字化扫描切割系统,一日就诊,一次搞定。


图片发自160医生App



图片发自160医生App



图片发自160医生App



图片发自160医生App



图片发自160医生App



图片发自160医生App



图片发自160医生App



图片发自160医生App
相关疾病: