后牙单颗种植+截冠

卢松林医生 发布于2020-11-20 12:46 阅读量7211

本文由卢松林原创

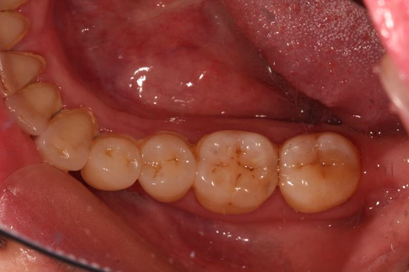
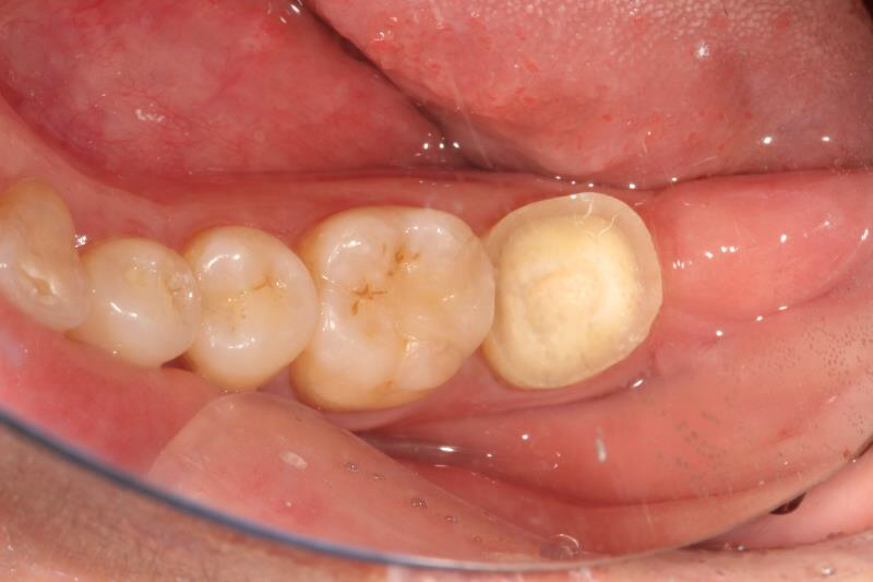
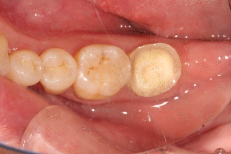
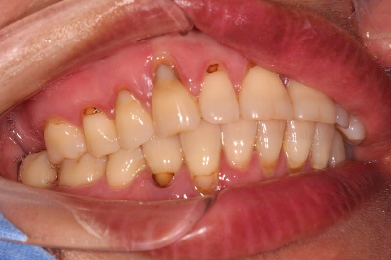
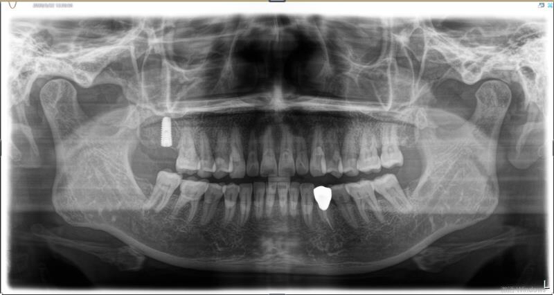
  今天给大家分享的病例是一位中年女性,17缺失,由于长时间未修复,47伸长,留给17修复的空间不足。

  老卢给她的治疗方案是:17种植修复,47根管治疗后截冠、高嵌体修复。这样可以最大限度的增加患者的咀嚼效率。

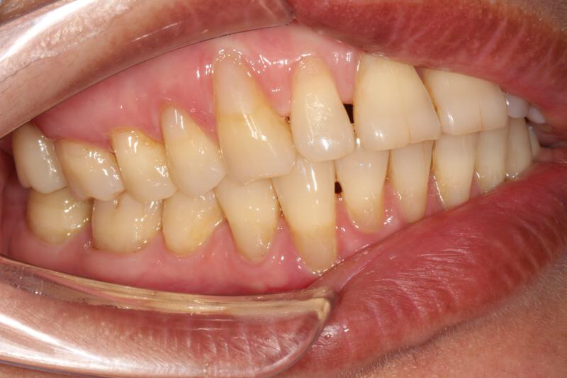
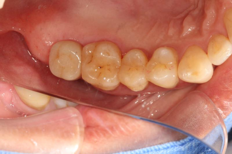
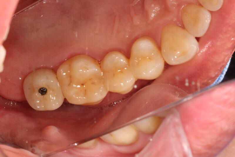
  由于患者喉反射比较严重,种植牙冠和高嵌体都是用我们德国进口CEREC扫描制做的哦,与传统取模相比大大降低了不适感。


图片发自160医生App



图片发自160医生App



图片发自160医生App



图片发自160医生App



图片发自160医生App



图片发自160医生App



图片发自160医生App



图片发自160医生App



图片发自160医生App



图片发自160医生App



图片发自160医生App
相关疾病: