前牙全瓷超薄贴面修复

卢松林医生 发布于2020-11-19 09:58 阅读量7150

本文由卢松林原创

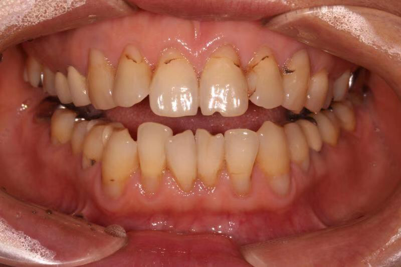
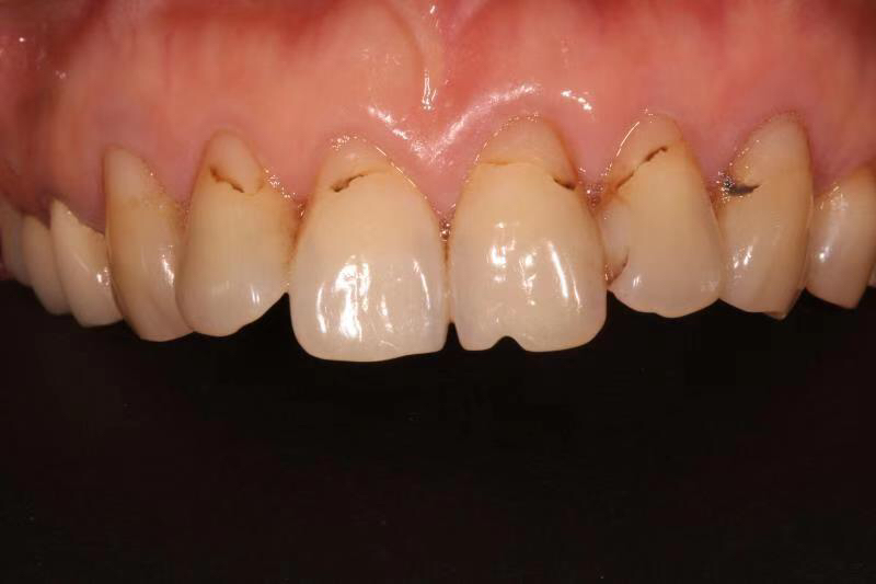
  患者女,由于前牙刷牙导致楔状缺损补牙时间久了边缘着色发黑,且经常嗑瓜子导致门牙缺损,因为再好的补牙材料时间久了边缘也会变色

所以老卢建议她做全瓷贴面修复,美观度,耐久度相较于补牙要高很多。

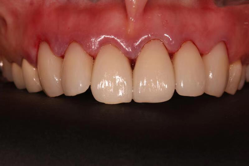
  我们的全瓷贴面由德国CEREC椅旁切割系统扫描,技师现场制作,相较于传统取模发加工厂,更舒适、更快捷,有特殊要求可与技师现场沟通更方便。

  在这里卢医生提醒大家,掌握正确刷牙方法,瓜子好吃可不要贪多哦。



图片发自160医生App



图片发自160医生App



图片发自160医生App



图片发自160医生App



图片发自160医生App



图片发自160医生App



图片发自160医生App
相关疾病: