铒激光微创拆冠一日修复

卢松林医生 发布于2020-11-15 16:53 阅读量7183

本文由卢松林原创


图片发自160医生App



图片发自160医生App



图片发自160医生App



图片发自160医生App



图片发自160医生App



图片发自160医生App


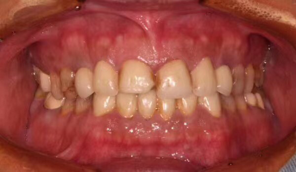
多年前全瓷冠,一只螃蟹腿下去,瞬间一首凉凉送给您,感叹一下这只️有多贵[捂脸]。

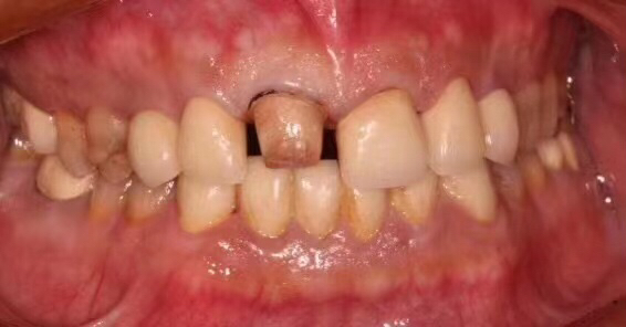
激光拆全瓷冠可是一把好手,2分钟拿下。

传统的磨磨磨、拆拆拆,到现在可以终结了,配合德国CEREC数字化扫描切割,一日就诊,一次搞定。

再奉劝各位,不管是牙冠还是自己的牙齿,吃️且吃且珍惜。

相关疾病: