为什么看牙贵?

卢松林医生 发布于2020-11-14 18:59 阅读量6920

本文由卢松林原创


图片发自160医生App



图片发自160医生App



图片发自160医生App



图片发自160医生App



图片发自160医生App



图片发自160医生App



图片发自160医生App



图片发自160医生App

为什么看牙贵?

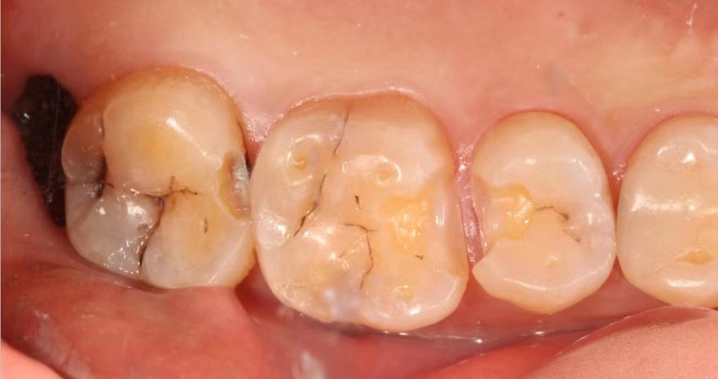
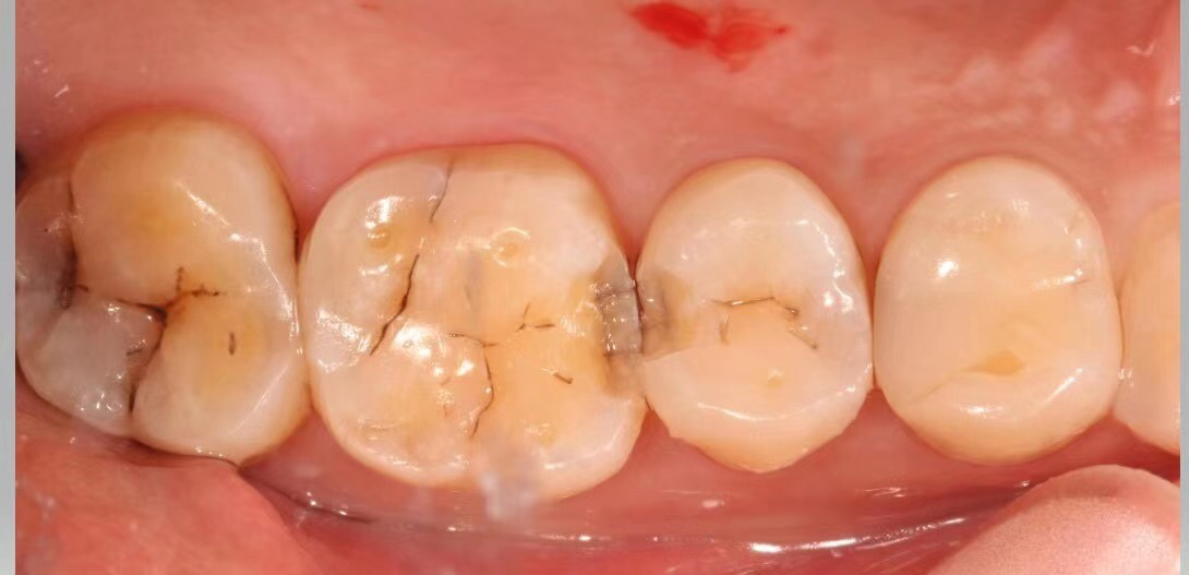
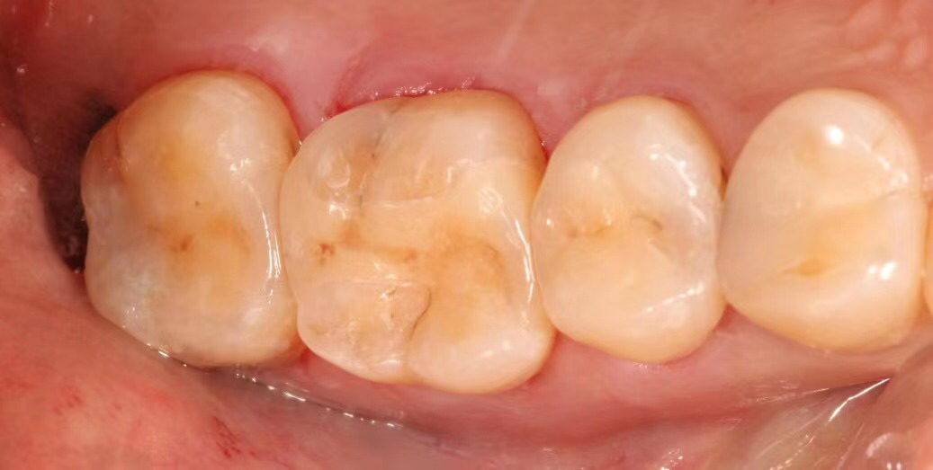
          因为医生技术高,仪器设备先进,材料都是全瓷。

         以下先进的设备是德国西诺德的椅旁修复CEREC,是一项运用在牙科治疗上的尖端技术,由计算机支持设计制作,一次性完成全瓷修复体,全冠、嵌体、贴面制作过程,去除了印模、制作临时假牙等繁琐步骤。一次搞定。

相关疾病: