Ki-67(基因名为MKI67)是一种在细胞分裂时表达的蛋白质,被广泛用作细胞增殖的标记。研究发现,Ki-67的表达水平与细胞分裂周期有密切关联。Ki-67主要定位于细胞核,最初以其发现城市德国基尔市(Kiel)命名,并且数字“67”源自于抗体筛选实验中96孔板的第67个孔。细胞分裂经历四个主要周期:G1期(间期)、S期(合成期)、G2期(第二间期)和M期(有丝分裂期)。在正常生理条件下,Ki-67的表达水平从细胞有丝分裂的G1期开始逐渐增加,直到S期、G2期,然后在M期之后迅速降低,最终在G0期(静止期)基本不表达。

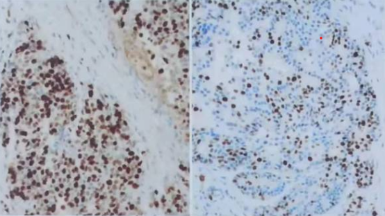
Ki-67蛋白的表达水平代表了细胞增殖活跃程度。Ki-67的表达水平越高,说明细胞分裂越活跃,处于分裂阶段的细胞比例越高。在肿瘤组织中,Ki-67表达较高,而在正常组织中,几乎不表达。因此,Ki-67被视为评估肿瘤细胞活跃程度非常重要的指标。在病理学中,医生通过显微镜观察到的Ki-67阳性细胞(即表达Ki-67的细胞)百分比来评估细胞增殖活性,其范围在0%到100%之间。通常情况下,医生会将Ki-67指数高于20%的患者定为高表达患者。例如,如果Ki-67指数为80%,则表示活检中所取得的所有恶性组织中有80%的细胞处于生长状态。这个比例越高,肿瘤生长越快,突变概率和产生耐药突变的概率也越高。

Ki-67在临床中具有重要意义。它能够直接反映恶性肿瘤中内源性细胞群的增殖活性,评估肿瘤的侵袭能力。在某些情况下,Ki-67可以作为评估癌症恶化和预后情况的一个指标。然而,肿瘤预后的好坏并不仅由Ki-67决定,还需要综合考虑其他因素,如肿瘤类型、肿瘤大小、淋巴转移等。总结来说,病理报告中的Ki-67指数是评估肿瘤细胞活跃程度的重要指标。高Ki-67指数意味着肿瘤细胞增殖活性强,生长速度快。然而,Ki-67并不是肿瘤预后的唯一决定因素,还需要综合考虑其他因素来评估肿瘤的侵袭能力和预后情况。
由于Ki67值受太多因素影响,目前为止全世界尚无统一的判读和评价指南,甚至在不同的临床研究中,在不同的检测机构中,所取用的Ki67临界值都相差较大,低至1%,高达35%。 一般在免疫组化中,正常的指标是(-)表示。
一旦它是正数,它将在报告上显示一个正数,或者以加号及数字的形式表示。比如Ki67 (+70%)。肺癌Ki67(±),是指这个肺癌患者核增殖抗原Ki67表达量极少,几乎为阴性,提示肿瘤细胞增殖较慢。
虽然Ki67代表着肿瘤细胞的增殖程度,反应了细胞恶性程度高低,与病人预后有一定的关系,但不能仅凭这一个指标就预测病人的预后、生存时间和治疗效果。肺癌病人的预后还需要通过术后病理分期、细胞分化程度、是否有脉管癌栓、切缘是否阴性、病人的年龄和体力状况来综合判断。
