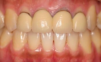
对于牙体缺损或者根管治疗后的牙齿目前最多的修复方式当属冠修复或者贴面嵌体等,而材料的选择是很多患者需要面对的。
目前材料分为两大类,烤瓷类和全瓷类,两类材料各有优缺点


烤瓷牙是在金属基底冠上涂瓷烧结。
烤瓷牙价格低廉,易引起牙龈染色,不可做核磁共振,价格相对低廉,美观度一般,瓷与金属界面容易崩瓷


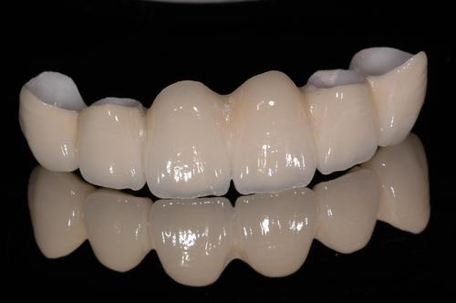
全瓷牙不含金属,基地冠属于锆材质,个别后牙为了增加强度可全锆不涂瓷。
全瓷牙强度高、色泽接近天然牙,生物相容性好,可做核磁共振 ,价格较高。
综上所述,全瓷牙各方面性能要远优于烤瓷牙,长远来看全瓷牙是全冠修复首选