2025年10月17-18日,聚焦“呼吸介入新技术与肺结节精准诊疗”的第四届广东省胸部疾病学会呼吸介入学术年会在深圳成功举办。龙发主任带来的前沿技术分享,为肺结节微创治疗提供了新范式。
为推动呼吸介入技术的规范化发展与同质化推广,加强肺结节及早期肺癌的诊疗水平,由广东省胸部疾病学会主办,广州医科大学附属第一医院、深圳市光明区人民医院呼吸与危重症医学科等机构共同承办的“第四届广东省胸部疾病学会呼吸介入专委会学术年会呼吸内镜介入进展暨肺结节早癌诊疗学习班” 于2025年10月17-18日在深圳隆重召开。本次大会主题聚焦 “呼吸内镜介入进展” 与 “肺结节早癌诊疗” ,旨在搭建一个高水平的学术交流平台。会议汇聚了国内呼吸介入领域的顶尖专家与同仁,通过专题报告、手术直播演示及手把手训练等多种形式,共同探讨了支气管镜机器人、激光、冷冻、射频消融等前沿介入技术的发展与应用,为推动我国胸部疾病介入诊疗水平的提升注入了新的动能。

大会内容:大会的精彩之处在于其多维视角与深度融合。在“呼吸内镜介入进展暨肺结节早癌诊疗学习班”及专题年会环节,众多专家从不同维度分享了前沿见解:
(1)技术革新方面:支气管镜机器人及AI的临床应用与进展,拉开了精准操作的序幕。激光技术在呼吸介入中的精准汽化与消融,展现了“光刃”的锋芒。径向超声与共聚焦激光显微内镜(CLE) 等腔内影像技术,实现了对肺结节的“现场实时病理学”评估,让诊断前所未有的直观。
(2)诊疗拓展方面:议题延伸至高难度呼吸介入手术的麻醉管理,揭示了“生命护航者”的关键角色。专家们还深入探讨了气管支气管结核的内镜诊治,展现了介入技术在处理感染性疾病中的广泛应用。
(3)整合发展方面:大会强调,未来的发展方向不再是技术的单打独斗,而是导航、机器人、CBCT、消融能量平台的整合,构建一体化的手术解决方案,实现“1+1>2”的效应。
肺癌防治,关键在“早”
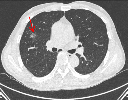
肺癌是我国发病率和死亡率最高的恶性肿瘤,75%的患者确诊时已属晚期,早诊早治是提高生存率的关键。随着低剂量螺旋CT的普及,越来越多的肺小结节被早期发现,如何实现精准、微创、根治性治疗成为临床热点。
(肺结节微创治疗方式及适应症)

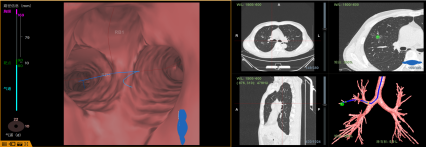
CBCT引导下多模态整合的一站式肺结节消融平台
基于锥形束CT(CBCT)引导、融合术前规划与术中实时干预的肺结节精准诊疗体系。该体系整合了导航技术、径向超声(R-EBUS)、共聚焦激光显微内镜(CLE) 以及冷冻/射频消融等多种前沿技术,实现了从路径规划到精准执行的一站式解决方案。

CT发现结节

导航“GPS”定位跟踪

多种技术核实“身份”

精准式打击(冷冻/射频)

总结:在肺癌防治形势严峻的今天,CT筛查出的海量肺结节对微创根治技术提出了迫切需求。肺结节的根治性消融依赖于“多模态导航+多能量平台”的整合战术,形成一站式手术流程,方能最大化手术成功率,真正为肺结节患者提供一个优于外科手术的微创选择。
地址:深圳市光明区马田街道松白路4253号
光明区人民医院西院区