2018年3月27日,深圳市人民医院泌尿外科成功完成了一例前列腺重约300克的超大前列腺增生的经尿道前列腺剜除术。时隔一年余,期间患者已经完成了一年多的随访,特此与大家分享。
患者徐*馨,男,75岁,身高168cm,体重93公斤,BMI 32.95。因进行性排尿困难3年余,加重1周,到深圳市某市级三甲医院就诊,查超声提示“膀胱残余尿745ml”,予留置尿管。既往有高血压病史,长期服用阿司匹林。在该院进一步住院检查发现前列腺超级巨大,将近300克。医师建议患者行开放性前列腺摘除术,患者及家属拒绝开刀手术,经人介绍转至我院。入院后进一步行前列腺超声及核磁共振检查,证实患者前列腺接近罕见的300克(81x76x88mm≈295.8g)。在2018年3月的时间节点国内罕有此般巨大前列腺行经尿道剜除的报道。经尿道前列腺增生微创手术治疗的难度及风险随诊前列腺体积的增加而上升,大体积前列腺一般为60克以上,各大权威指南认为80~100克前列腺增生不适合行经尿道前列腺电切术(目前的金标准)。如此巨大的前列腺,可想而知其手术难度及风险是呈几何倍数的上升。术前予停用阿司匹林一周后,在肖克峰主任、陈彤主任等指导下,于麻醉科、手术室众位同事的密切配合下,采用改良式经尿道等离子前列腺分叶剜除术。耗时约4小时余。术中出血少,术程平稳。患者术后安返病房,无冲洗下尿色清,,次日即下床活动。因考虑患者腺体巨大,术后未按照常规术后第二天拔除尿管,而将拔除尿管时间延长至术后第五天。拔除尿管后患者排尿顺畅,有轻微压力性尿失禁,一个月尿失禁基本恢复,三个月时尿失禁完全恢复。
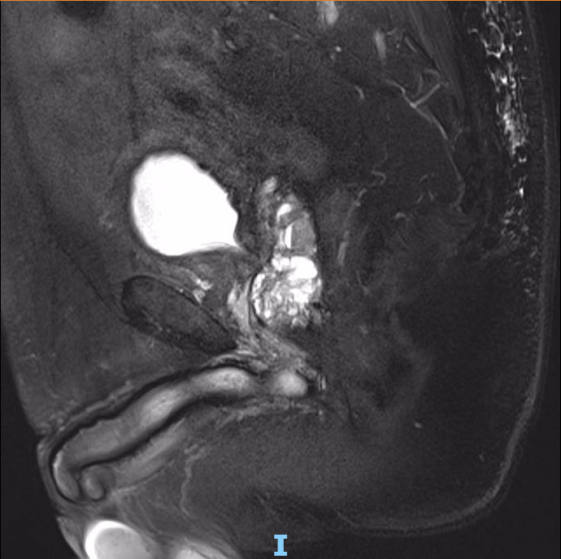
术后行各项指标随访监测,术前血色素137g/l,术后当天血色素123g/l,术后一周血色素127g/l。术前术后电解质情况稳定,无水中毒迹象。术后第六天复查尿流率10.5ml/s(尿流量142ml),超声提示“前列腺大小25x49x32mm(约21克),膀胱无残余尿”。术前PSA19.57ug/l,术后4个月复查PSA降至1.4ug/l。术后一年半余复查超声“前列腺大小28x41x30mm(约18g),膀胱壁毛糙,排尿后膀胱腔暗区消失”;MRI所示前列腺大小约20g(如下图所示);最大尿流率18.5ml/s(尿流量209.6ml)。
经历这次手术后,我对等离子前列腺剜除术的认知上了一个台阶,对巨大前列腺增生的剜除手术有了新的体会。第一,在这个病案里,因为前列腺巨大,前列腺窝空间狭窄,即使简单的温柔地将镜鞘从尿道进入膀胱,这个动作都已经造成12点位的尿道粘膜及括约肌的“自然”轻度撕裂,为术后尿失禁埋下隐患。患者术后5天拔除尿管,本期待拔除尿管后能够和其他前列腺剜除术后的病人一样尿控良好,但是病人还是出现了尿失禁。在经过三周多的功能锻炼,尿失禁基本缓解,在三个月后尿失禁完全消失。因此12点位的尿道粘膜及括约肌的轻度撕裂,虽然可能导致术后的尿失禁的发生,但这种尿失禁经过短暂的时间是可以恢复的。此外,患者体型肥胖,也是术后压力性尿失禁的原因之一。第二,虽然术前做了充分准备,但面对如此巨大的前列腺,现有的手术器械显得有点力不从心。镜鞘整个置入后电切环够不着膀胱颈,需要用劲顶住镜鞘,尽力伸出电切环后方勉强够着膀胱颈12点位置边缘。术中遭遇了镜子损坏、等离子机器罢工、组织粉碎器经过罢工后带病工作的一系列意外事件,满打满算耗时约四个小时方完成手术(单纯手术处理的时间约两个半小时)。工具跟不上耗费了较多手术时间。因此,做巨大前列腺的剜除术,需要制备特定的较长的等离子器械方能让操作游刃有余。组织粉碎器需要备两套,以免一套机器故障。第三,等离子刀止血效果可靠。巨大前列腺血供丰富,血管较粗,但等离子刀止血能力足够应对这种出血。第四,起初本计划先行前列腺介入栓塞缩小体积后再二期行前列腺剜除术。但患者及家属请求一次解决问题,不希望病人遭受两次痛苦。因此只能硬着头皮挑战如此巨大的前列腺增生。经过这个病案的洗礼,实践证明改良式经尿道等离子前列腺分叶剜除术完全可以胜任如此巨大体积的前列腺。
欢迎泌尿外科同道相互交流,共同进步。






















