烟 雾 病
一、什么是烟雾病,烟雾病(MMD)是一种少见的原因不明的慢性进行性脑血管闭塞性疾病,其特点是双侧颈内动脉末端和/或大脑前动脉、大脑中动脉起始部进行性狭窄和闭塞,伴受累动脉供血区软脑膜和脑底部细小的异常血管网形成。
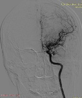
因脑血管造影中脑底异常血管网形似烟雾,故称之为烟雾病。通俗地说,就是交通主干道发生了堵塞,为了疏通车辆,主干旁边的羊肠小道都开放了,分流车辆。在这里,主干道就是颈内动脉、大脑中动脉和前动脉;而羊肠小道就是烟雾状血管。这样“变形”的好处是尽量保证大脑不缺血缺氧。
二、为什么会得烟雾病,关于本病病因,目前国际上尚无定论,一般认为与以下因素有关:①遗传因素。家族性烟雾病大概占所有病例的12%,也就是说,有超过十分之一的烟雾病患者其家庭成员也同样患有此病。所以在确诊烟雾病后,家人一定要注意排查。②免疫炎症因素。目前研究发现,有许多参与免疫炎症反应的细胞因子和负症因子在该病中出现异常。总之,一般认为该病的发生是多种因素共同作用的结果。烟雾病血管造影表现为颈内动的来福闭塞,烟雾状血管形成
三、烟雾病的特征,表现烟雾病的临床表现多种多样,缺乏特异性。其临床症状主要表现为脑缺血和脑出血两种类型,缺血型的临床症状是由于颈内动脉和(或)大脑前动脉、大脑中动脉逐渐闭塞引起,而出血型多是由于代偿扩张的烟雾状血管或者动脉瘤破裂所致。儿童以缺血性脑血管病为主,成人约半数以上表现为出血性脑血管病。烟雾病具体症状可表现为头痛、头晕、言语笨拙、失语、肢体无力、肢体麻木、视物模糊、癫痫等。烟雾病以儿童和中青年多见,在5岁左右和40岁左右有两个发病高峰。儿童中,往往在发病前有一定的诱发因素,包括哭闹、奔跑、吹口琴、吃过热的食物等。发病更早的儿童可伴有智力障碍。
四、烟雾病的诊断,根据患者年龄、性别及临床表现可初步疑诊烟雾病,烟雾病的确诊需要进行影像学检查,包括MRI和DSA.由于脑血管造影为有创性检查,对于儿童来讲,一般MRI即可诊断,不过对于需要手术的儿童,也需要进行DSA诊断。脑血管疾病烟雾病的诊断标准:①起始段狭窄或闭塞。②脑血管造影出现颅底异常血管网,行头部MRI时,在界答组等状血管两。③上述影像学特征呈双侧。需要排除引起烟雾病的一些常见疾病。
五、烟雾病的治疗,目前烟雾病没有特效药物治疗,常用药物包括抗血小板药物、抗凝药物和血管扩张剂。然而这些药物的疗效不明,缺乏临床证据。另外,这些药物可能会带来一定的不良反应,比如导致出血倾向等,所以一般不推荐患者常规药物治疗。目前,国内外学者已达成共识,颅内外血管重建术是治疗烟雾病唯一有效的方法,可降低患者发生脑卒中的概率,改善预后。颅内外血管重建术包括直接血管重建、间接血管重建和联合血管重建。颅内外血管重建术的原理类似南水北调工程,“南水”是颈外动脉来源的血流,“北调”指的是将外来的血流引入远端闭塞的脑血管中。由于烟雾病病情一般呈进展性,尤其会影响儿童的智力发育。所以一经发现,建议早期手术治疗。①颈内动脉末端和(或)大脑前动脉和(或)大脑中动颞浅动脉一大脑中动脉吻合
六、烟雾病治疗后会遗留后遗症吗烟雾病如不经治疗,往往会因为脑梗死或脑出血而导致严重的神经功能障得,具体表现为偏瘫、言语障碍和视力视野异常等,严重时可导致昏迷甚至死。对儿童而言,烟雾病会引起智力下降和严重的认知障碍。积极的手术治疗有可能挽救患者的神经功能,减少后遗症的发生。
七、烟雾病患者注意事项对于儿童来说,一旦出现神经功能障碍或者长期反复头痛,就应该到医院进行相关检查,排除烟雾病可能。成人多表现为脑出血和脑梗死,建议尽早到医院进行影像学检查。在手术之前一定要注意减少可能导致疾病加重的情况。烈运动;避免进食过烫、过辣的食物;儿童应避免大哭、吹气球等过度通气的动作;避免吹奏性乐器,如口琴、笛子和小号等。如避免从事高危及剧
八、总结,烟雾病是一种少见的原因不明的慢性进行性脑血管闭塞性疾病,因脑血管造影中脑底异常血管网形似烟雾而得名。烟雾病的临床症状主要表现为脑缺血和脑出血两种类型。烟雾病目前没有特效药物治疗,颅内外血管重建术是唯一被证实有效的治疗方法。颅内外血管重建术包括直接血管重建、间接血管重建和联合血管重建。建议明确诊断后尽早行颅内外血管重建术治疗。
