患者为48岁中年女性;平素偶尔有颈肩部疼痛不适,没有明显影响工作生活,未予重视;未曾往正规医院检查治疗。某日颈肩部不适再次发作,于某美容院美容后行颈部按摩推拿治疗,在此过程中突然出现双上肢烧灼样疼痛伴双上肢及双手麻木无力。观察一段时间症状未见改善,来我院就诊。
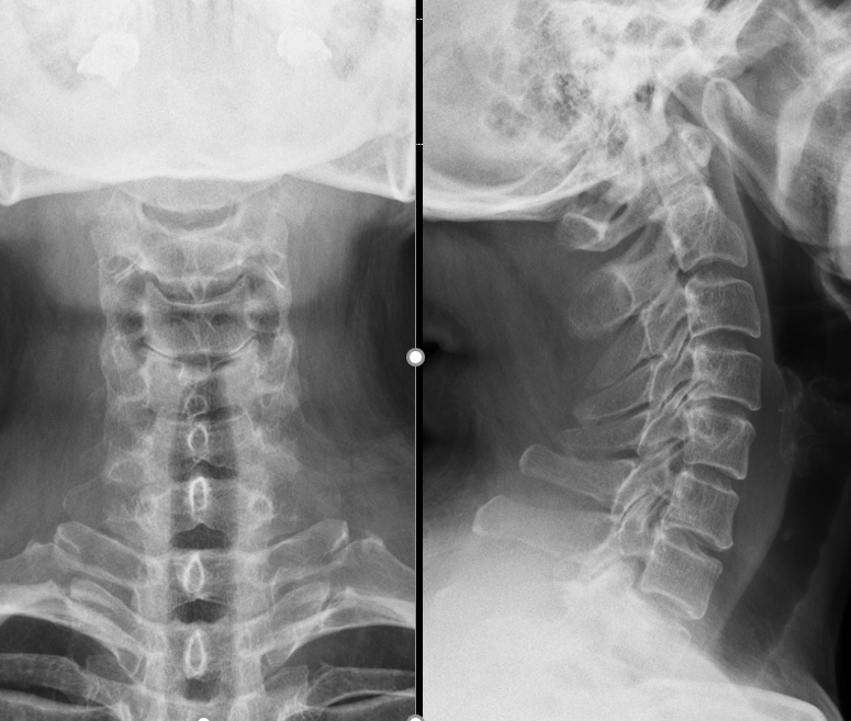
我们看一下患者的影像学资料:



可以看到在颈4/5节段有一明显的致压物向椎管内压迫颈脊髓,并导致脊髓信号发生改变(白色高信号:脊髓损伤的表现)
完善术前准备后,在我院行显微镜下颈椎前路手术治疗。我们看一下手术后的影像资料:


可以看到椎管内的压迫已经彻底解除;患者症状明显缓解,上肢肌力及功能恢复正常(本病例为本人治疗过的患者,影像中未显示任何患者的个人信息,请勿转载,如有侵权请联系我)。
患者既往可能有椎间盘突出,但本人并无明显症状(轻微的突出并不导致神经压迫的症状);但在外力的作用下脊髓受到压迫并产生瘫痪及痛觉过敏的症状。颈椎比较娇嫩,不正规的推拿按摩须谨慎。
如果有持续性四肢麻木,放射样疼痛,或是肢体力量下降;应尽快来脊椎外科专科就诊,排除脊髓神经受压等情况。