有不少人群在过度运动后,或者崴脚之后,甚至是穿了过紧的鞋子之后出现足内侧疼痛,并发现硬硬骨头突出来,按压后疼痛难忍。这是怎么回事呢?
今天就跟大家聊聊,崴脚后足内侧疼痛之--痛性副舟骨
足副舟骨是什么?
一般人一只脚有26块骨头,但是10%~14%的人在足舟骨旁边多出一块骨头--足副舟骨。足副舟骨是一种先天性畸形,由幼年时未能与足舟骨结节相结合的副骨化中心发展而来。位于足内侧、足弓上方。一端通过纤维组织与足舟骨相连接,另一端与其相连的结构可以包括:拇展肌腱、弹簧韧带、部分三角韧带以及胫后肌腱。

痛性副舟骨是什么?
这就要接着上面的解剖说起,附着在副舟骨上有一条很重要的肌腱--胫后肌腱。胫后肌腱不仅止于舟骨,在足副舟骨上也有异常止点。它的作用力通过足副舟骨传至舟骨,在两骨之间产生异常扭矩,造成局部活动紊乱,同时也可以减弱胫后肌腱对足弓稳定的作用。容易导致足副舟骨支持组织及足内侧纵弓支持组织产生疲劳、慢性非特异性炎症反应,甚至慢性损伤,最终引起疼痛。踝关节扭伤、鞋子挤压、过度运动都是引发副舟骨疼痛的主要诱因。另外,副舟骨破坏了胫后肌固有的提起足纵弓及使足内翻的作用,结果极易引起平足。而扁平足的患者也会导致胫后肌腱受到牵拉,进一步导致副舟骨损伤。两者之间的关系目前仍然存在争议。
症状与体征
本病患者以青年女性多见,可有扁平足表现
足内侧疼痛
足内侧骨性突起,局部压痛及肿胀
胫后肌腱可有压痛
抗阻力内翻踝关节可诱发疼痛,运动后疼痛加重

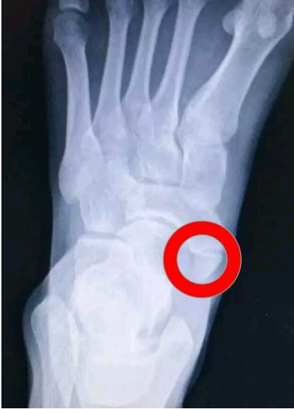
辅助检查
足正侧位X线片及足外侧45°斜位片为首选影像学检查方法,MRI除可发现局部炎症外,还可发现胫后肌腱病变。
治疗
保守治疗
对痛性足副舟骨患者一般先采取保守治疗。保守治疗的目的是减轻炎症反应,包括以下几点:
冰敷:可减轻炎症反应。
药物治疗:口服或外用NSAIDS类药物
物理治疗:如冲击波、超声波等
急性期过后的肌力训练(主要是胫后肌腱)
宽松的鞋子,使用适当支具(如足弓垫),以防止症状进一步发展
手术治疗
对保守治疗6个月以上且效果不理想、症状顽固者则应择期手术治疗。Kidner手术是标准术式,适合有严重扁平足的成年痛性足副舟骨患者;单纯切除术为近年比较提倡的术式,具有手术创伤小等优点;对足拇趾近节趾骨未完全发育成熟患者,可行经皮钻孔术;若足副舟骨骨块较大,能容纳螺钉穿过,则行内固定融合术。