肩袖是覆盖于肩关节前、上、后方之肩胛下肌、冈上肌、冈下肌、小圆肌等肌腱组织的总称,位于肩峰和三角肌下方,与关节囊紧密相连。
肩袖损伤的分类
肩袖损伤分为肩袖腱炎和肩袖撕裂两种情况。其中,绝大多数肩袖损伤是由于肩袖腱炎引起的,肩袖腱炎又分为肩袖肌腱炎、钙化性肌腱炎两种,肩袖腱炎一般及时进行综合治疗即可恢复。
肩袖损伤从损伤部位上可以分为肩袖部分或全厚撕裂肩袖撕裂,从发病急缓上可以分为急性撕裂或慢性撕裂,从原因上可以分创伤性肩袖撕裂或退变性撕裂。
肩袖损伤对保守治疗反应不佳,需要进行手术。磁共振造影检查(MRI)能很好的检查出肩袖损伤的种类、部位、急缓等情况,给临床提供很好的辅助。使患者尽早恢复到正常的功能活动。
下面这张图简单归纳了肩袖损伤的分类,方便大家理解:

肩袖损伤的原因,可分肌腱内因素、肌腱外因素、急性创伤三种情况。
1.肌腱内因素:
(1)过度劳损和年龄相关的变性(机械损伤、炎症介质、降解酶表达改变);
(2)随年龄增长的局部血供下降。
2.肌腱外因素:
(1)原发撞击:3型肩峰、肩锁关节下方骨赘、喙肩韧带增厚等;
(2)继发撞击:束缚肱骨上抬的力量减弱(胸大肌、大小圆肌、背阔肌)、其与肩峰反复撞击。
3.急性创伤:外力导致肩袖撕裂。
肩袖损伤的诊断思路
一定要掌握肩袖正常的MRI表现,在掌握肩袖正常MRI的基础上,熟悉各种伪影、变性、撕裂的信号,肌腱的形态,如果是肩袖损伤,还要会评价肌肉萎缩程度。具体要点是如下4点:
①至少在2个平面评估:冈上肌腱(冠、矢)和冈下肌、肩胛下肌、小圆肌(轴、矢);
②肌腱信号:魔角效应、变性与撕裂信号鉴别;
③肌腱形态:注意观察关节面的撕裂;
④评估肌肉萎缩:横截面积、脂肪侵润。
魔角效应(下方图片所示为肩袖退行性病变)
Magic horn效应,既是MRI的魔角效应。正常情况下肩袖退行性改变或撕裂所致的信号异常会产生魔角效应。如果成像的结构与主磁场呈55度夹角,局部组织的T2值会显著增加,表现为高信号。特别是在短TE时表现明显,当TE增高或者使用STIR序列成像时魔角效应消失,这个伪影最常出现在肩关节冈上肌肌腱成像,在冠状位脂肪抑制PD成像上冈上肌肌腱附着处表现为稍高信号,极似冈上肌肌腱附着处撕裂。
在这种情况下,建议用脂肪抑制T2WI扫描,以排除魔角效应。可重新摆放病人的体位来避免魔角现象的发生,或者选择合适的TE来做T1WI及PDWI来避免假阳性误诊。

T1 FSE Fat Sat与PD FSE Fat Sat

PD FSE Fat Sat
增加MRI检查时的TE值后,图像如下:

TE=35

TE=70
当增加TE值,魔角效应依然存在,并不是伪影,而是退行性病变。如果增加TE值,魔角效应消失,则是伪影。
钙化性肌腱炎


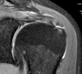
冈上肌腱、冈下肌腱滑囊面磨损,边缘毛糙
肩袖撕裂
冈上肌腱全层撕裂,累及冈下肌腱。
看肌腱撕裂时要至少在两个平面看:

斜冠、斜矢上的图像

冈上肌腱全层及腱间撕裂

冈上肌腱、冈下肌腱巨大撕裂,上述肌肉萎缩
MRI可帮助确定肌腱损伤的损伤部位和严重程度,尤其是MRI可以清晰的显示肩袖的部分撕裂,对诊断具有较高的价值。在MRI对肩袖损伤的诊断上,至少在2个平面评估,注意肌腱变性与撕裂信号鉴别,肌腱的形态,如果有肌腱损伤,则要看是否累及肌肉,评价肌肉的萎缩程度。