小宁十月怀胎临产了,但不知什么原因开始咳嗽,痰不易咳出,有一个月时间了,因为要临产,很多医院不敢接收,到医院来的时候体温是38℃,发烧有一个星期了,她本人没有到过外地,一直在家中待产,没有接触发热或有呼吸道症状的人,家属中无发热或出现呼吸道症状者。
检查白细胞正常,咽拭子新冠病毒核酸检测阴性。但还是作为疑似病例对待,入院当天顺产健康男婴,新生儿立即转入新生儿科负压隔离病房。
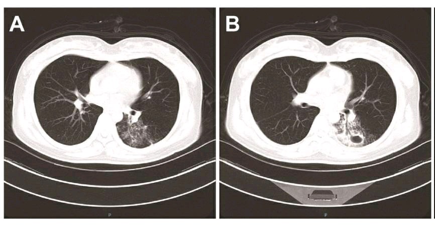
小宁胸部CT检查提示:左下肺实变并空洞,考虑感染或吸入性肺炎。结合血沉升高,小宁考虑是肺结核,排除新冠肺炎。

现在是非常时期,新冠疫情严重,很多医院都停止看平诊,主要应对发热病人,对于发热、咳嗽人来说,首先要排除的就是新冠病毒感染,但肺结核与新冠肺炎非常相似,但也有很多不同。
肺结核为结核杆菌感染,是细菌感染,起病较慢;而新冠肺炎发病较急,是病毒感染。肺结核患者的传染病接触史往往不明确,而新冠肺炎患者发病前一般有明确的接触史。
新冠肺炎的病人一般是发热、咳嗽症状比较明显进展比较快。肺结核的病人一般发热比较轻,咳嗽时间比较长,进展比较慢。若出现咳嗽、咳痰超过两周,咯血或痰中带有血丝,要考虑患肺结核的可能,要尽快去正规医院就诊。

我们再来看看这位怀孕妇女感染了肺结核和新冠肺炎,是怎么鉴别的?
小宁主要表现是发热和咳嗽,与新型冠状病毒感染常见症状发热及咳嗽相似。仅仅这些很难与新冠肺炎鉴别。
鉴别第一点是实验室检查,就是血常规、血沉、C反应蛋白以及咽拭子新冠病毒核酸检测阴性。
鉴别第二点是根据她的CT表现,是空洞型肺结核典型表现,特点是空洞内壁光滑,周围有很多形态的卫星灶,表现为粟粒状小斑点,还有一些小树芽和小斑片影,就像地球周围环绕了很多卫星。
为什么肺结核的空洞内壁是光滑的呢?
因为肺结核杆菌含有大量脂肪成分,这些脂肪液化后,可以与周围的钙离子发生皂化反应,形成脂肪酸盐,像肥皂颗粒一样具有清洁功能,加上结核杆菌的破坏比较彻底,所以肺结核的空洞常常比较光滑,像被肥皂水洗过
特别提醒:对于临床症状不典型的患者,在新型冠状病毒肺炎疫情影响下,建议行胸部影像学检查,遵循尽可能低剂量的原则,怀孕期间有指征地使用X射线、CT对胎儿未见明显危害。

一般孕妇都是家中的宝,在家庭中都是特级保护,但还是不小心患上肺结核,感染结核杆菌还是令人担心的,最怕对小孩造成影响。
肺结核是我国一种常见的疾病,专爱找免疫功能低下或者合并有基础疾病的人,孕妇也属于抵抗力下降人群,生活中要注意。
许多研究发现,非活动性肺结核对女性怀孕和胎儿的生长发育没有多大影响,而且妊娠对肺结核的病情也没有明显的影响。
但是如果是病变范围较大,还处于活动期的肺结核,如血行播散型肺结核,浸润型肺结核,容易发生流产和早产,妊娠分娩也会加重病情。
也有研究表明,结核杆菌感染会导致母体免疫系统活化,产生大量的细胞因子,引起胎盘炎症进而引起胎儿心肌损伤等。

目前预防肺结核没有一种办法可以100%预防,妊娠合并肺结核可能会导致不良母婴结局,早发现、早诊断、早治疗是决定预后的关键。
对肺结核患者进行隔离治疗,一般经过正规的抗结核治疗两周左右,传染性会明显下降,大多数患者治疗两个月左右基本就没有传染性了。没有什么担心的,锻炼身体,提高免疫力。