你害怕瘫痪吗?担心口齿不清,智能减退吗?
在回答这些问题之前,你还可以先回答一下,你吸烟吗?肥胖吗?有三高吗?
今天要介绍的是脑血管病,这个病是中国首位死因。提到脑血管病,是不是有点“懵逼”呢?如果讲中风,大家可能就熟悉了。平时大家谈癌色变,但对于脑血管病,却缺少重视。
《中国心血管病报告2016》显示,中国脑卒中患者达1300万,2015年脑血管死亡人数达188.85万,中国卒中相关的死亡约占人口总死亡人数的20%,而且可预见的是,这些数字还在增加。
为什么患卒中的人群会越来越多?
第一,人口逐渐老龄化,衰老是每个人不能回避的问题。
第二,危险因素控制不够,得了第一次卒中,死性不改,还抽烟、喝酒、肥胖,就会第二次卒中。统计学数据告诉我们,第一次卒中之后,如果没有进行二级预防,一年之内再次卒中率17%。
但是,追根溯源,脑血管病和动脉粥样硬化有很大关系。这是一个从量变到质变的过程。所以,只要我们做好前期预防,将疾病控制在早期,那么就有可能避免最坏情况的发生。
动脉粥样硬化 :缺血性卒中的幕后真凶
虽然深圳是一个年轻的城市,但是巨大的生活压力,多吃少动的不健康生活方式,导致很多老年病越来越年轻化了,很多青年、中年已经出现动脉粥样硬化,并由此引起缺血性卒中(中风)。
如何防止脑血管疾病,第一要素是控制动脉粥样硬化。随着人体逐渐衰老,血管也在逐渐硬化。
婴儿期我们的血管是非常光滑的,弹性非常好,几十年之后血管逐渐硬化。就像以前用的煤气橡胶管,新管的时候弹性非常好,但是风吹日晒之后,弹性慢慢减小,管壁逐渐变硬。
血管硬化以后内皮受损,胆固醇或者其他炎性物质附在壁上,形成动脉粥样硬化斑块,这些斑块越来越大,血管腔越来越小,如果斑块破裂或者血管闭塞,那么就会发生中风事件。
动脉硬化是一个自然过程,但是如果没有吸烟、喝酒、肥胖、高血压这些危险因素,血管可以维持年轻态到80岁,如果这些风险因素控制不当,可能年纪轻轻就会出现动脉硬化,动脉粥样硬化,直至中风。
中风是一个突发血管事件,但是在中风之前一定有一个非常漫长的过程是血管发生了硬化,产生了动脉粥样硬化斑块,神经科医生不光要着眼于中风的时间点,还要着眼于在中风之前的漫长过程怎么能让你的血管保护的更好,怎么让动脉粥样硬化的过程慢一些,再慢一些。
发现动脉粥样硬化,提前预防中风
如果你们曾经到神经内科就诊过,比如说你有头疼、头晕,出现了手脚麻木,医生可能会给你做一个脑血管筛查,叫做经颅多普勒超声。
通常情况下,稍微好一点的体检套餐里面往往都会有经颅多普勒超声。对多数人群来说,经颅多普勒超声主要检查颅内血管是否存在动脉紧张度增高,有无弹性减退,有无早期的动脉硬化,有无颅内动脉狭窄。
经颅多普勒超声用于检测颅内血管的情况,颈动脉超声用于检测颈部(颅外)血管的情况。
为什么要重视颈动脉超声,因为颈动脉离体表最近,都能摸到或者看到,所以超声检查最方便最准确,做这个检查最主要的目的是检测有没有动脉硬化斑块。
对于有不良生活嗜好的人,如果到了一定岁数,一般来说我们建议去查一下颈动脉超声。不良嗜好是什么?吸烟、饮酒、吃肥腻的东西,在外面就餐,久坐少动。如果有不良生活习惯,同时又出现了肥胖、高血压、高血脂、糖尿病,那么心脑血管病危险会大幅升高。
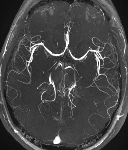
如果经颅多普勒超声或者颈动脉超声提示患者可能有颅内或者颅外动脉狭窄,那就需要做下一个检查,就是血管成像。

DSA:脑血管诊断的金标准,可显示动静脉以及血流动力学,并可三维成像。缺点是具有一定的有创性,价格较贵。

CTA:静脉注入造影剂后CT血管成像,显示动脉。显影比较精确。

MRA:无需注入造影通过核磁共振检查动脉血管和静脉。作为脑血管病筛查手段,内科常用。
血管成像分CTA,磁共振和DSA三种血管成像,这三种血管成像的主要作用是真真正正检测有没有动脉狭窄,并指导治疗方向。
控制危险因素,预防斑块发生发展
发现有动脉粥样硬化,接着怎么办?
提倡健康的生活方式
健康的生活方式有助于防止动脉粥样硬化,降低脑血管的发病率。健康的生活方式包括健康饮食和良好的生活习惯。
控制危险因素
动脉粥样硬化最危险因素是吸烟,吸烟是百害无一益。吸烟会损伤血管内皮,即便没有任何的危险因素,只是吸烟一种不良习惯就可以把你的动脉硬化和动脉粥样硬化斑块起码提早10年以上。
控制“三高”:高血压、高血脂、高血糖。高血压往往具有家族倾向,所以到目前为止,高血压这个病是不能治愈的。
好多人说,“我吃了药之后,血压正常了,我可以停药了吧?”吃了药一个星期之后血压正常,并不是说你这个病治好了,而是因为你用药把你的血压调控下来了,如果你停了药血压可能回弹回来。当然有个别患者,是因为精神紧张,压力大导致的高血压,可能过了这段时间好了,但是通常情况下,高血压病一旦确诊,是终生服药的。
持续的高血压往往会造成动脉壁的硬化,如果伴有高血糖与高血脂,则会加重血管内皮损伤,加速胆固醇等物质在血管壁的沉积,加速动脉粥样硬化斑块的形成。
到目前为止,尽管不断有各种各样的动脉硬化的危险因素被发现,“三高”仍然是最常见最确切最可能被预防的动脉粥样硬化的危险因素。
那么,把这些因素都控制之后是不是肯定不会中风呢?
当然不是,但是如果把危险因素控制好之后,第一次中风的发病时间会明显往后延,第二次中风的风险显著降低,第三尽量避免大中风发生,最大可能降低致残风险。这就是为什么我们要先把工作做在前面,在中风之前就控制这些危险因素。
最后总结一下,我们国家中风第一次发病风险很高,因为日益加重的老龄化,还因为中风的危险因素控制的非常不好。同时,第二次中风的风险非常高,因为很多患者第一次中风后,还执迷不悟,不控制自己的险因素,不坚持吃药预防再次复发。
预防中风就要管理动脉粥样硬化,管理动脉粥样硬化是要处理三高,进行健康的生活方式。如果曾经中风过,服用阿司匹林是目前预防中风再发的最佳选择,这是50年来大量的文献来证实的。