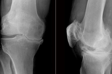
骨关节炎是一种慢性的、逐渐加重的关节老化疾病。这种病有许多不同的名称,如:退变性关节炎、增生性关节炎、肥大性关节炎、退行性骨关节病等,现在一般统称为“骨关节炎”。这种病的特点是关节软骨面发生老化、剥脱、消失,关节边缘有骨刺形成,老化的速度超过了修复和再生的速度,最后活动能力丧失。膝关节骨关节炎在临床上表现为慢性发展的关节肿痛、僵硬、活动受限,并伴有少量关节积液。这种病是最常见的关节疾病,患者数量比其他所有关节炎的总和还要多,也是关节疼痛最常见的原因之一。骨关节炎是关节软骨的老化和损伤,很多人到了40岁以后,都会出现不同程度的症状,在60岁左右有一半的人会患骨关节炎,70岁以后几乎所有的人都有不同程度的骨关节炎。随着老龄人口的增多,骨关节炎会变得更为普遍,几乎成为二十一世纪的头号疾病,越来越成为医生和社会共同关注的问题。

