腋臭大汗腺的镜下表现

李天石医生 发布于2024-03-29 16:56 阅读量1014

本文由李天石原创

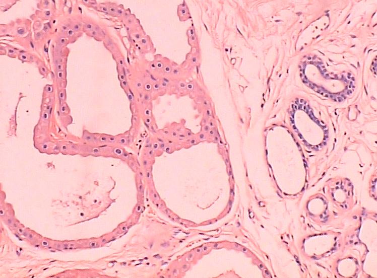
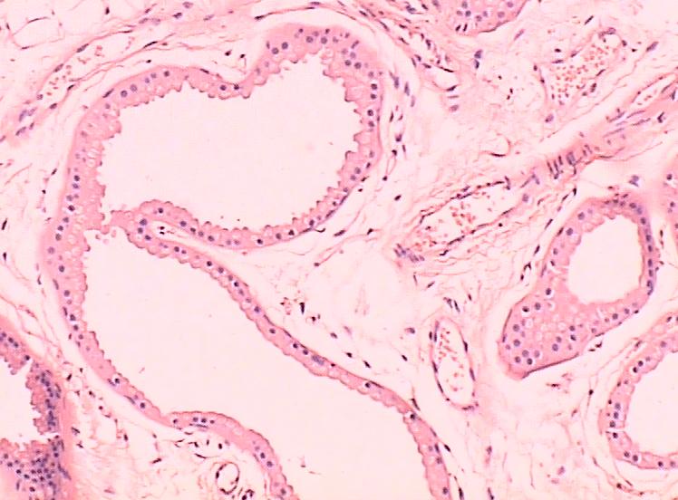
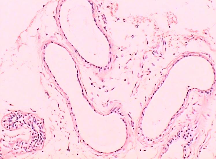
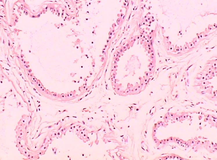
腋臭的腺体即大汗腺在镜下和普通汗腺有着显著区别。

以下几图我们可以看到,大汗腺管腔宽大,是普通汗腺的数倍大小。壁薄,腺细胞分布较稀疏,浆液较多,管腔中淡红染色的物质即为粘稠的腋臭汗液。图四中右侧几个管腔小,排列规则,腺细胞排列致密,核蓝染的腺体即为普通汗腺。左侧与之相邻的是大汗腺,对比非常明显。

我们的患者术后刮出物检测,基本都是以大汗腺为主,小汗腺偶然可见。这再次提示腋臭手术并不影响排汗功能。微创手术的疗效是可靠的。

相关疾病: