患者女,55y,湖南益阳人
因双眼视力下降一年,左眼只有手动感,右眼只有光感,并双侧颞侧偏盲就诊
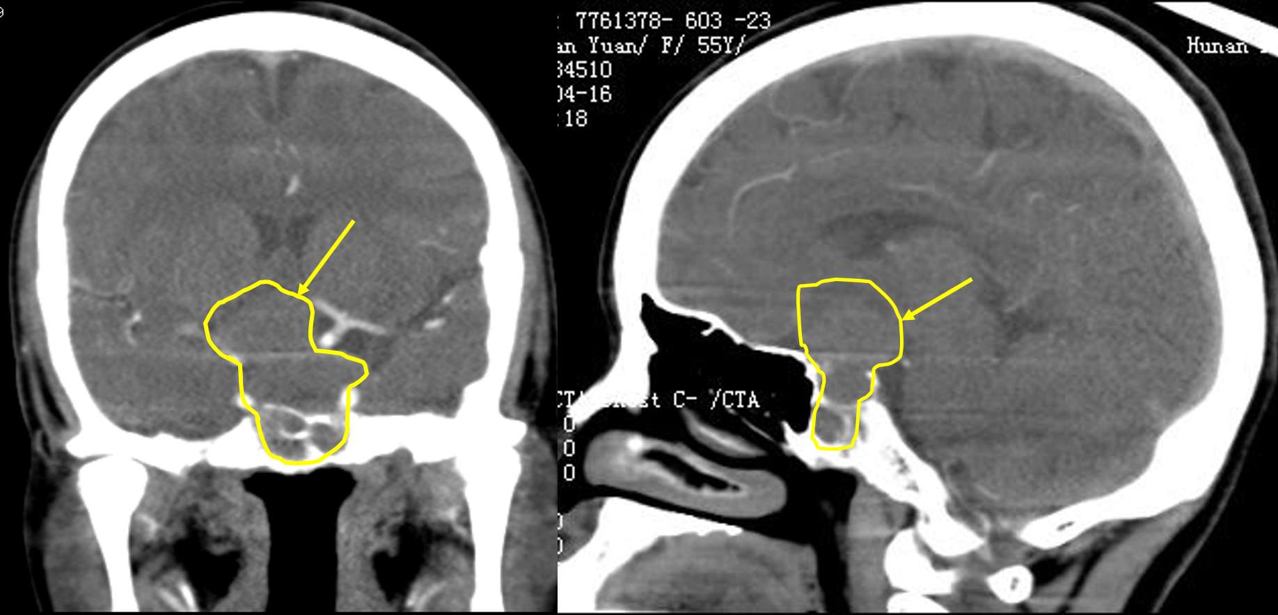
当地医院查发现垂体肿瘤,转诊到我科。
患者入院后经过详细检查,肿瘤为无功能性肿瘤,不分泌内分泌激素,影像学提示垂体肿瘤往鞍上生长,并紧邻颈内动脉,属于巨大垂体瘤,手术风险很大。



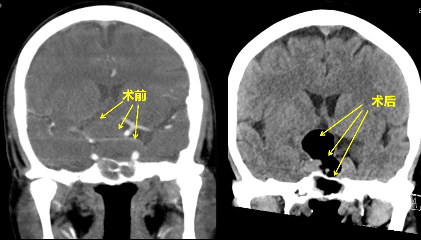
经过科室讨论和院内多学科会诊,并与患者及家属充分沟通后,患者家属决定选择在鼻内镜下微创行经鼻垂体瘤切除术,我们在术中采取双人三手、双人四手操作,密切配合,完整切除肿瘤,并保护了鞍膈的完整性,双侧颈内动脉也未受损,术中出血约350ml,未出现脑脊液漏,未输血。术后鼻腔填塞少量止血材料,患者无明显头痛等不适,术后第一天,左眼视力即由原来的只能感觉眼前的手动,升为可以辨别眼前的手指个数了,提示明显改善。术后尿量在正常范围,未出现尿崩(垂体瘤术后常见的并发症之一)。术后复查CT提示,垂体肿瘤切除干净。患者术后一周即出院了。


患者术后7月来院复查,左眼视力已恢复到0.8,而且已在外地打工,恢复了劳动力。患者的嗅觉功能也正常。在很多垂体瘤术后的患者中,往往抱怨术后嗅觉有下降,严重者甚至嗅觉丧失,这是由于手术过程中可能有些术者为了手术通道,切除了与嗅觉相关的上鼻甲及鼻中隔后部分嗅区结构和组织,文献报道术后嗅觉障碍的发生率还是比较高的。在这例患者中,我们采取了改良的手术径路,很好地保护了上鼻甲和鼻中隔嗅区黏膜,术后的嗅觉功能得以完好地保存,这对患者术后生活质量的改善也是很重要的。
垂体瘤的传统手术是在显微镜下进行,但由于显微镜是桶状术野,观察的范围有限,操作起来也有一定的弊端,近来,大多倾向于选择在鼻内镜下微创手术,由于内镜的广角视野,还可随意移动观察,并且有很好的放大作用,对鼻颅底病变的处理非常有帮助。通过自然的鼻腔通道到达垂体瘤所在的颅底鞍区,是公认的最微创的手术径路,术后患者恢复的进程明显缩短,疗效也明显提高。
耳鼻喉科医师由于在鼻内镜方面有娴熟的操作经验和技巧,对于鼻腔鼻颅底的结构的辨别和保护有明显的优势,术中对患者鼻腔粘膜功能保护,以及在颅底修复重建方面有良好的驾驭能力,所以,这些区域相关的一些颅底肿瘤(如垂体瘤、复发的鼻咽癌等),经过训练的鼻科医师能够很好地胜任这些部位的微创鼻内镜下手术。