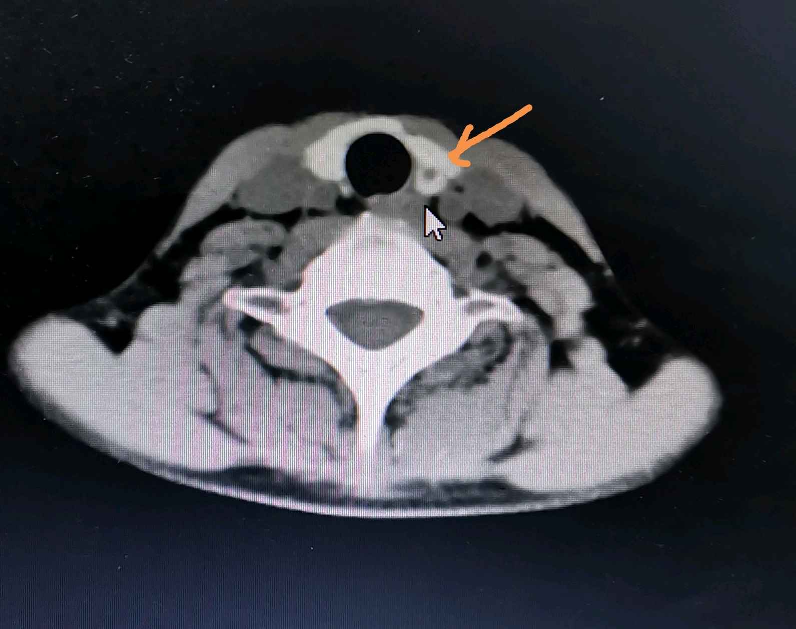
上周,一个同事的中学同学由于体检发现甲状腺结节,省内两家三甲医院的B超提示IVb级,患者非常着急,咨询疫情情况下,能否安排手术。我们经过排除新冠肺炎的相关检查后,安排了手术,术中切下左侧甲状腺腺叶及峡部,解剖保留好左侧喉返神经及上下两个甲状旁腺,术中快速冰冻切片回报为甲状腺微小乳头状癌(3mm),未侵及包膜(上图中鼠标所示白色结节处,下图CT中箭头所示处)。为安全起见,探查清扫了同侧的气管食管沟内(IV区)淋巴结,回报为阴性。术后第二天即拔除了引流管,又观察了一天就出院了。患者感觉恢复满意,声音质量也完好,而且正好在学校还没正式开学的时候就做了,避开了接送照顾孩子上学的繁忙阶段。何况,这种疫情非常时期,住院还是一人一间,相当享受了单间待遇,在平时是不可想象的。
现在很多单位的常规年度体检都包括了甲状腺B超项目,往往会有甲状腺结节的报告,很多人会担忧,到底该怎么办?其实,一般在III级以内是相对安全的,可以动态观察,比如半年至一年复查B超即可。如果是IV级以上,则建议积极对待了,尽早手术,效果还是很好的。

