淋巴结肿大在血液科门诊经常见到,除了常见的淋巴结炎,淋巴结结核,淋巴瘤以外,还有一些少见的病例。今天,我就分享一例少见的淋巴结肿大病例——腮腺Warthin瘤
孙大爷因为左颈部包块20年,增大2年就诊,无疼痛、发热、无咳嗽、咳痰、无胸痛、既往有吸烟病史。体查:左颈部近下颌区可扪及一个包块,大小约5×3厘米,质地中等,无压痛,头部、胸部、全腹部CT未见异常,彩超报告:左颈部多发淋巴结肿大,不排除淋巴瘤,做了B超引导下穿刺活检,病理结果:腮腺Warthin瘤。
严格来说,这种病不属于淋巴结肿大,但是从患者和临床角度,无法区分是腮腺还是淋巴结,所以有必要在这里学习一下这个疾病。腮腺Warthin瘤(Warthin tumor)又称腺淋巴瘤或乳头状淋巴囊腺瘤、淋巴囊腺瘤, 1929 年由 Warthin 首先命名,是腮腺常见的良性肿瘤,因为名称中含有“淋巴瘤”,有些患者和部分年轻临床医生可能因为不了解腺淋巴瘤这一疾病名称,会误以为是淋巴瘤,从而造成一些不必要的误解,加重患者的心理负担。它实际上不是我们以为的那种“淋巴瘤”,因此,为避免大家将其与恶性淋巴瘤混淆,1991年WHO已经正式将其称为涎腺“Warthin瘤”,以中老年吸烟男性多发,是一种临床慢性起病,症状隐匿的良性肿瘤。可以单侧发病,也可双侧同时发病,病灶可多发,临床常以耳前或腮腺区无痛性肿块就诊,肿瘤易发生坏死感染,可有消长史(大小变化)。
彩色多普勒超声检查是一种较为方便、可靠的检查。肿瘤易发生坏死、感染和液化,超声表现复杂多样,总结来说有以下特点:1.肿瘤多数位于腮腺浅叶或下极;2.肿瘤多单发(单侧单发或双侧单发);3.肿瘤多形态规则,呈椭圆形或类圆形,边界清楚,边缘光整;4.肿瘤内部呈低-极低回声,回声均匀或不均匀,局部可见无回声区,可见网格状改变;5.彩色多普勒超声显示瘤体内稍丰富血流信号。
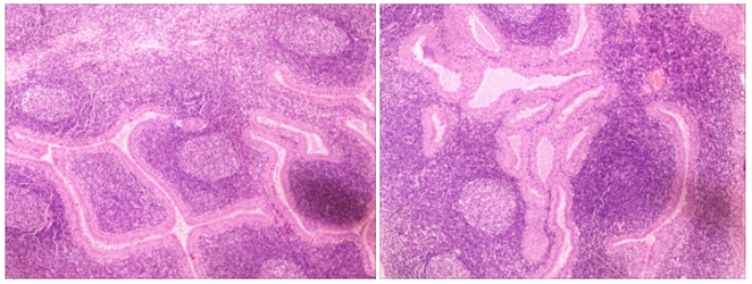
Warthin瘤组织学形态具有显著特征:肉眼呈典型囊性分叶状,切面灰白灰褐色;镜下由双层嗜酸性上皮细胞构成乳头状结构,间质为密集淋巴组织,可见生发中心。
