健康160首页
|
咨询
|
挂号
|
疾病
|
资讯
|
药房
|
登录
注册
快速取消订单
您好,
用户中心
私人医生
消息
退出
下载APP
关注微信
昨天一个动脉瘤破裂出血的病人,手术难度大,手术效果很好
张国忠医生
发布于2024-03-11 14:39
阅读量624
南方医科大学南方医院
本文由张国忠原创
该图片可能引起不适
继续查看
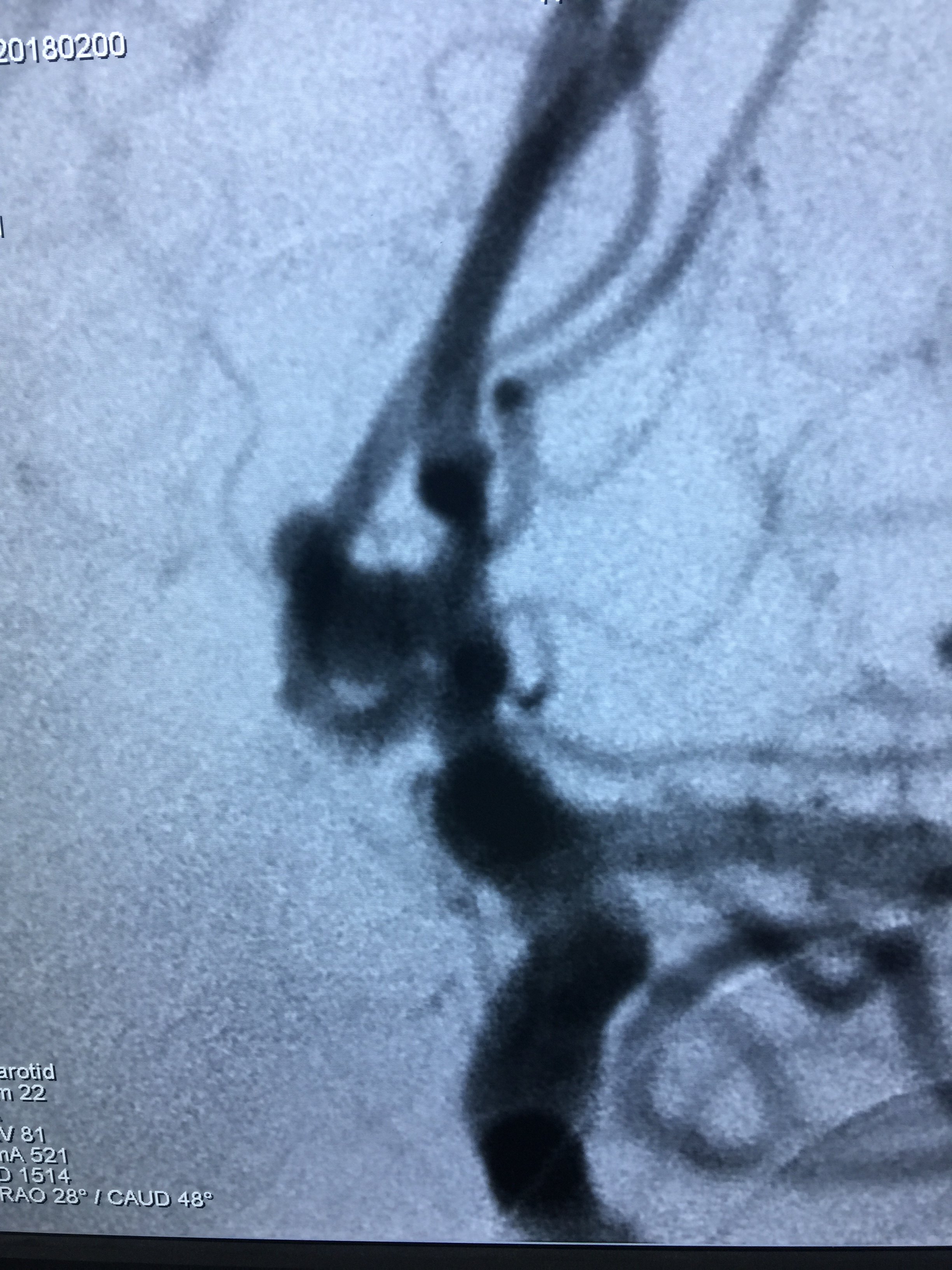
脑血管造影:前交通宽颈动脉瘤,血管迂曲,需要支架辅助栓塞
该图片可能引起不适
继续查看
支架辅助栓塞治疗后动脉瘤不显影,载瘤通畅无狭窄
相关疾病:
青光眼
动脉瘤